Main Page/SlicerCommunity/2015
Go to 2022 :: 2021 :: 2020 :: 2019 :: 2018 :: 2017 :: 2016 :: 2015 :: 2014-2011 :: 2010-2000
The community that relies on 3D Slicer is large and active: (numbers below updated on December 1st, 2023)
- 1,467,466+ downloads in the last 11 years (269,677 in 2023, 206,541 in 2022)
- over 17.900+ literature search results on Google Scholar
- 2,147+ papers on PubMed citing the Slicer platform paper
- Fedorov A., Beichel R., Kalpathy-Cramer J., Finet J., Fillion-Robin J-C., Pujol S., Bauer C., Jennings D., Fennessy F.M., Sonka M., Buatti J., Aylward S.R., Miller J.V., Pieper S., Kikinis R. 3D Slicer as an Image Computing Platform for the Quantitative Imaging Network. Magnetic Resonance Imaging. 2012 Nov;30(9):1323-41. PMID: 22770690. PMCID: PMC3466397.
- 39 events in open source hackathon series continuously running since 2005 with 3260 total participants
- Slicer Forum with +8,138 subscribers has approximately 275 posts every week
The following is a sample of the research performed using 3D Slicer outside of the group that develops it. in 2015
We monitor PubMed and related databases to update these lists, but if you know of other research related to the Slicer community that should be included here please email: marianna (at) bwh.harvard.edu.
Contents
- 1 2015
- 1.1 MRI-Only Based Radiotherapy Treatment Planning for the Rat Brain on a Small Animal Radiation Research Platform (SARRP)
- 1.2 Potential of Diffusion Tensor Imaging and Relaxometry for the Detection of Specific Pathological Alterations in Parkinson's Disease (PD)
- 1.3 Effects of Ncl. Basalis Meynert Volume on the Trail-Making-Test are Restricted to the Left Hemisphere
- 1.4 High Contrast Microstructural Visualization of Natural Acellular Matrices by Means of Phase-Based X-Ray Tomography
- 1.5 Treatment Planning and Delivery of Whole Brain Irradiation with Hippocampal Avoidance in Rats
- 1.6 Performance of Single And Multi-Atlas Based Automated Landmarking Methods Compared to Expert Annotations in Volumetric Microct Datasets of Mouse Mandibles
- 1.7 The Design and Validation of a Novel Semiautomatic Lung Navigation Platform
- 1.8 A Novel Procedure for Rapid Imaging of Adult Mouse Brains with MicroCT using Iodine-Based Contrast
- 1.9 Comparison between Magnetic Resonance Imaging Estimates of Extracranial Cerebrospinal Fluid Volume and Physical Measurements in Healthy Dogs
- 1.10 Automatic Classification of Prostate Cancer Gleason Scores from Multiparametric Magnetic Resonance Images
- 1.11 Association Between Vascular Anatomy and Posterior Communicating Artery Aneurysms
- 1.12 Seeing More by Showing Less: Orientation-Dependent Transparency Rendering for Fiber Tractography Visualization
- 1.13 MR Diffusion-weighted Imaging-based Subcutaneous Tumour Volumetry in a Xenografted Nude Mouse Model using 3D Slicer: An Accurate and Repeatable Method
- 1.14 Spinal Cord Segmentation by One Dimensional Normalized Template Matching: A Novel, Quantitative Technique to Analyze Advanced Magnetic Resonance Imaging Data
- 1.15 Two-Center Prospective, Randomized, Clinical, and Radiographic Study Comparing Osteotome Sinus Floor Elevation with or without Bone Graft and Simultaneous Implant Placement
- 1.16 A Multidimensional Dynamic Quantification Tool for the Mitral Valve
- 1.17 Clinical and Radiologic Disease in Smokers With Normal Spirometry
- 1.18 Value Of Virtual Endoscopy In Diagnosis And Treatment For Hydrocephalus After Failed Shunt
- 1.19 Isometric Scaling in Developing Long Bones Is Achieved by an Optimal Epiphyseal Growth Balance
- 1.20 A Statistical Shape Model of the Human Second Cervical Vertebra
- 1.21 Bone Engineering of Maxillary Sinus Bone Deficiencies using Enriched CD90+ Stem Cell Therapy: A Randomized Clinical Trial
- 1.22 Three-Dimensional Eyeball and Orbit Volume Modification After LeFort III Midface Distraction
- 1.23 High-field Functional Magnetic Resonance Imaging of Vocalization Processing in Marmosets
- 1.24 Optimizing Parameters of an Open-source Airway Segmentation Algorithm using Different CT Images
- 1.25 Cross-Validation of 3D Gamma Comparison Tools
- 1.26 Effect of Pulse Sequence Parameters On Geometric Distortions Induced by a Titanium Brachytherapy Applicator
- 1.27 Panorama Ultrasound for Navigation and Guidance of Epidural Anesthesia
- 1.28 Towards the Personalized Treatment of Glioblastoma: Integrating Patient-Specific Clinical Data in a Continuous Mechanical Model
- 1.29 Intraoperative Image-guided Transoral Robotic Surgery: Pre-clinical Studies
- 1.30 Brain Atrophy and White-matter Hyperintensity is not Significantly Associated with Incidence and Severity of Postoperative Delirium in Older Persons without Dementia
- 1.31 Morphology Parameters for Mirror Posterior Communicating Artery Aneurysm Rupture Risk Assessment
- 1.32 Intraoperative High-field Magnetic Resonance Imaging Combined with Functional Neuronavigation in Resection of Low-grade Temporal Lobe Tumors Involving Optic Radiation [Article in Chinese]
- 1.33 Reduced Bone Density and Vertebral Fractures in Smokers. Men and COPD Patients at Increased Risk
- 1.34 Fully Automated Whole-Head Segmentation with Improved Smoothness and Continuity, with Theory Reviewed
- 1.35 Fibrin-based 3D Matrices Induce Angiogenic Behavior of Adipose-derived Stem Cells
- 1.36 MIDA: A Multimodal Imaging-Based Detailed Anatomical Model of the Human Head and Neck
- 1.37 Neuropsychological Outcome and Diffusion Tensor Imaging in Complicated versus Uncomplicated Mild Traumatic Brain Injury
- 1.38 Craniofacial Reconstruction using Rational Cubic Ball Curves
- 1.39 Age Related Differences in Diffusion Tensor Indices and Fiber Architecture in the Medial and Lateral Gastrocnemius
- 1.40 Volumetric Alterations in the Nucleus Accumbens and Caudate Nucleus in Bulimia Nervosa: A Structural Magnetic Resonance Imaging Study
- 1.41 Validation of Osteoarthritis Synthetic Defect Database via Non-rigid Registration
- 1.42 Validation of CBCT for the Computation of Textural Biomarkers
- 1.43 Comparison between an Alternative and the Classic Definition of Chronic Bronchitis in COPDGene
- 1.44 Quantitative Trait Loci Affecting the 3D Skull Shape and Size in Mouse and Prioritization of Candidate Genes in-silico
- 1.45 Automatic Segmentation of Deep Intracerebral Electrodes in Computed Tomography Scans
- 1.46 Openigtlink Interface for State Control and Visualization of a Robot for Image-Guided Therapy Systems
- 1.47 Safe and Rapid Contouring of Fibro-osseous Lesions in the Orbital Area using Navigation with Minimally Invasive Cranial Bone Registration
- 1.48 Open Source Software in a Practical Approach for Post Processing of Radiologic Images
- 1.49 Functional Mapping of the Human Visual Cortex with Intravoxel Incoherent Motion MRI
- 1.50 Factors Affecting Capsular Volume Changes and Association with Outcomes after Bankart Repair and Capsular Shift
- 1.51 A Gradient in Cortical Pathology in Multiple Sclerosis by in vivo Quantitative 7 T Imaging
- 1.52 Role of Mri-Based Tumor Volume Measurements in Surgical Treatment of Breast Cancer
- 1.53 B-Mode and Acoustic Radiation Force Impulse (ARFI) Imaging of Prostate Zonal Anatomy: Comparison with 3T T2-Weighted MR Imaging
- 1.54 Optical Polarization Tractography Revealed Significant Fiber Disarray in Skeletal Muscles of a Mouse Model for Duchenne Muscular Dystrophy
- 1.55 Hippocampal Volume is Reduced in Schizophrenia and Schizoaffective Disorder but not in Psychotic Bipolar I Disorder Demonstrated by Both Manual Tracing and Automated Parcellation (Freesurfer)
- 1.56 Algorithm For Simulation Of Craniotomies Assisted By Peripheral For 3D Virtual Navigation
2015
MRI-Only Based Radiotherapy Treatment Planning for the Rat Brain on a Small Animal Radiation Research Platform (SARRP)
|
Publication: PLoS One. 2015 Dec 3;10(12):e0143821. PMID: 26633302 | PDF Authors: Gutierrez S, Descamps B, Vanhove C. Institution: Medical Image and Signal Processing Group, Ghent University-iMinds Medical IT department, Ghent, Belgium. Background/Purpose: Computed tomography (CT) is the standard imaging modality in radiation therapy treatment planning (RTP). However, magnetic resonance (MR) imaging provides superior soft tissue contrast, increasing the precision of target volume selection. We present MR-only based RTP for a rat brain on a small animal radiation research platform (SARRP) using probabilistic voxel classification with multiple MR sequences. Six rat heads were imaged, each with one CT and five MR sequences. The MR sequences were: T1-weighted, T2-weighted, zero-echo time (ZTE), and two ultra-short echo time sequences with 20 μs (UTE1) and 2 ms (UTE2) echo times. CT data were manually segmented into air, soft tissue, and bone to obtain the RTP reference. Bias field corrected MR images were automatically segmented into the same tissue classes using a fuzzy c-means segmentation algorithm with multiple images as input. Similarities between segmented CT and automatic segmented MR (ASMR) images were evaluated using Dice coefficient. Three ASMR images with high similarity index were used for further RTP. Three beam arrangements were investigated. Dose distributions were compared by analysing dose volume histograms. The highest Dice coefficients were obtained for the ZTE-UTE2 combination and for the T1-UTE1-T2 combination when ZTE was unavailable. Both combinations, along with UTE1-UTE2, often used to generate ASMR images, were used for further RTP. Using 1 beam, MR based RTP underestimated the dose to be delivered to the target (range: 1.4%-7.6%). When more complex beam configurations were used, the calculated dose using the ZTE-UTE2 combination was the most accurate, with 0.7% deviation from CT, compared to 0.8% for T1-UTE1-T2 and 1.7% for UTE1-UTE2. The presented MR-only based workflow for RTP on a SARRP enables both accurate organ delineation and dose calculations using multiple MR sequences. This method can be useful in longitudinal studies where CT's cumulative radiation dose might contribute to the total dose. |
Illustration of a CB-CT and five MR images of the same animal. a) Coronal CB-CT image and (b)-(f) biased field corrected and masked coronal MR images using a T1-weighted (b), T2-weighted (c), ZTE (d), UTE1 (e) and UTE2 (f) sequence. All CB-CT images were first co-registered using 3D Slicer version 3.6.3 by rigid body transformations using normalized mutual information. |
Potential of Diffusion Tensor Imaging and Relaxometry for the Detection of Specific Pathological Alterations in Parkinson's Disease (PD)
|
Publication: PLoS One. 2015 Dec 29;10(12):e0145493. PMID: 26713760 | PDF Authors: Esterhammer R, Seppi K, Reiter E, Pinter B, Mueller C, Kremser C, Zitzelsberger T, Nocker M, Scherfler C, Poewe W, Schocke M. Institution: Department of Radiology, University Hospital, Innsbruck Medical University, Innsbruck, Austria. Background/Purpose: The purpose of the present study was to evaluate the potential of multimodal MR imaging including mean diffusivity (MD), fractional anisotropy (FA), relaxation rates R2 and R2* to detect disease specific alterations in Parkinson's Disease (PD). We enrolled 82 PD patients (PD-all) with varying disease durations (≤5 years: PD≤5, n = 43; >5 years: PD>5, n = 39) and 38 matched healthy controls (HC), receiving diffusion tensor imaging as well as R2 and R2* relaxometry calculated from multi-echo T2*-weighted and dual-echo TSE imaging, respectively. ROIs were drawn to delineate caudate nucleus (CN), putamen (PU), globus pallidus (GP) and substantia nigra (SN) on the co-registered maps. The SN was divided in 3 descending levels (SL 1-3). The most significant parameters were used for a flexible discrimination analysis (FDA) in a training collective consisting of 25 randomized subjects from each group in order to predict the classification of remaining subjects. PD-all showed significant increases in MD, R2 and R2* within SN and its subregions as well as in MD and R2* within different basal ganglia regions. Compared to the HC group, the PD≤5 and the PD>5 group showed significant MD increases within the SN and its lower two subregions, while the PD≤5 group exhibited significant increases in R2 and R2* within SN and its subregions, and tended to elevation within the basal ganglia. The PD>5 group had significantly increased MD in PU and GP, whereas the PD≤5 group presented normal MD within the basal ganglia. FDA achieved right classification in 84% of study participants. Micro-structural damage affects primarily the SN of PD patients and in later disease stages the basal ganglia. Iron contents of PU, GP and SN are increased at early disease stages of PD. Funding:
|
The regions-of-interest (ROIs) were manually drawn by an experienced radiologist by using the b 1000 images, averaged for all measured directions, the FA maps and the proton-density weighted images. For that purpose, the maps of ADC, FA, R2 and R2* as well as the proton-density weighted images were first co-registered. The ROIs were segmented by syncing the b 1000 images, averaged for all measured directions, the FA maps and the proton-density weighted images in ImageJ. The ROIs were stored in the ROI manager and transferred to the co-registered maps. The segmented brain regions were highlighted in different colors: CN—black; PU—red; GP—green; TH—white; SN—blue; CC—cyan. The diffusion-weighted images, the R2 and R2*-weighted maps were transferred to the 3D Slicer software in order to co-register the R2 and the R2* maps as well as the MD and the FA maps |
Effects of Ncl. Basalis Meynert Volume on the Trail-Making-Test are Restricted to the Left Hemisphere
|
Publication: Brain Behav. 2015 Dec 29;6(1):e00421. PMID: 27110442 | PDF Authors: Lammers F, Mobascher A, Musso F, Shah NJ, Warbrick T, Zaborszky L, Winterer G. Institution: Department of Anaesthesiology and Surgical Intensive Care Medicine Charité, University Medicine Berlin, Berlin, Germany. Background/Purpose: Cortical acetylcholine released from cells in the basal forebrain facilitates cue detection and improves attentional performance. Cholinergic fibres to the cortex originate from the CH4 cell group, sometimes referred to as the Nucleus basalis of Meynert and the Nucleus subputaminalis of Ayala. The aim of this work was to investigate the effects of volumes of cholinergic nuclei on attention and executive function. Methods: The volumes of CH4 and CH4p subregions were measured in a subgroup of 38 subjects (33.5 ± 11 years, 20 females) from a population-based cohort study of smokers and never-smokers who have undergone additional MR imaging. To define regions of interest, we applied a DARTEL-based procedure implemented in SPM8 and a validated probabilistic map of the basal forebrain. Attention and executive function were measured with Trail-Making Test (TMT A+B) and Stroop-Task. Results: We found a quadratic effect of the left CH4 subregion on performance of the TMT. Extremely small as well as extremely large volumes are associated with poor test performance. Conclusions: Our results indicate that a small CH4 volume predisposes for a hypocholinergic state, whereas an extremely large volume predisposes for a hypercholinergic state. Both extremes have detrimental effects on attention. Comparable nonlinear effects have already been reported in pharmacological studies on the effects cholinergic agonists on attention. |
Segmentation example for one brain. The blue ROI refers to CH4, CH4p is shown in yellow. Slices were chosen with the intention to show that CH4p covers a cell cluster often referred to as the Nucleus subputaminalis of Ayala which is rostrolateral extension of the NBM (at 12, 14 and 15 mm). Slice positions are indicated with reference to the most anterior slice on the top left. 3D Slicer 4.3.0 was used to calculate the volume of each labelled region in the map. |
High Contrast Microstructural Visualization of Natural Acellular Matrices by Means of Phase-Based X-Ray Tomography
|
Publication: Sci Rep. 2015 Dec 14;5:18156. PMID: 26657471 | PDF Authors: Hagen CK, Maghsoudlou P, Totonelli G, Diemoz PC, Endrizzi M, Rigon L3, Menk RH, Arfelli F, Dreossi D, Brun E, Coan P, Bravin A, De Coppi P, Olivo A. Institution: University College London, Department of Medical Physics and Biomedical Engineering, London, UK. Background/Purpose: Acellular scaffolds obtained via decellularization are a key instrument in regenerative medicine both per se and to drive the development of future-generation synthetic scaffolds that could become available off-the-shelf. In this framework, imaging is key to the understanding of the scaffolds' internal structure as well as their interaction with cells and other organs, including ideally post-implantation. Scaffolds of a wide range of intricate organs (esophagus, lung, liver and small intestine) were imaged with x-ray phase contrast computed tomography (PC-CT). Image quality was sufficiently high to visualize scaffold microarchitecture and to detect major anatomical features, such as the esophageal mucosal-submucosal separation, pulmonary alveoli and intestinal villi. These results are a long-sought step for the field of regenerative medicine; until now, histology and scanning electron microscopy have been the gold standard to study the scaffold structure. However, they are both destructive: hence, they are not suitable for imaging scaffolds prior to transplantation, and have no prospect for post-transplantation use. PC-CT, on the other hand, is non-destructive, 3D and fully quantitative. Importantly, not only do we demonstrate achievement of high image quality at two different synchrotron facilities, but also with commercial x-ray equipment, which makes the method available to any research laboratory. Funding:
|
Images acquired with synchrotron-based PC-CT showing a rat small intestine that was decellularized via DET: (a) transverse cross section, (b) three-dimensional view. All scale bars represent 500 μm. Images were processed using the ESRF in-house software PyHST, and analyzed and displayed with ImageJ31 and 3D Slicer. |
Treatment Planning and Delivery of Whole Brain Irradiation with Hippocampal Avoidance in Rats
|
Publication: PLoS One. 2015 Dec 4;10(12):e0143208. PMID: 26636762 | PDF Authors: Cramer CK, Yoon SW, Reinsvold M, Joo KM, Norris H, Hood RC, Adamson JD, Klein RC, Kirsch DG, Oldham M. Institution: Department of Radiation Oncology, Duke University Medical Center, Durham, NC, USA. Background/Purpose: Despite the clinical benefit of whole brain radiotherapy (WBRT), patients and physicians are concerned by the long-term impact on cognitive functioning. Many studies investigating the molecular and cellular impact of WBRT have used rodent models. However, there has not been a rodent protocol comparable to the recently reported Radiation Therapy Oncology Group (RTOG) protocol for WBRT with hippocampal avoidance (HA) which is intended to spare cognitive function. The aim of this study was to develop a hippocampal-sparing WBRT protocol in Wistar rats. Methods: The technical and clinical challenges encountered in hippocampal sparing during rat WBRT are substantial. Three key challenges were identified: hippocampal localization, treatment planning, and treatment localization. Hippocampal localization was achieved with sophisticated imaging techniques requiring deformable registration of a rat MRI atlas with a high resolution MRI followed by fusion via rigid registration to a CBCT. Treatment planning employed a Monte Carlo dose calculation in SmART-Plan and creation of 0.5 cm thick lead blocks custom-shaped to match DRR projections. Treatment localization necessitated the on-board image-guidance capability of the XRAD C225Cx micro-CT/micro-irradiator (Precision X-Ray). Treatment was accomplished with opposed lateral fields with 225 KVp X-rays at a current of 13mA filtered through 0.3 mm of copper using a 40x40 mm square collimator and the lead blocks. A single fraction of 4Gy was delivered (2Gy per lateral field) with a 41 second beam on time per field at a dose rate of 304.5 cGy/min. Dosimetric verification of hippocampal sparing was performed using radiochromic film. In vivo verification of HA was performed after delivery of a single 4Gy fraction either with or without HA using γ-H2Ax staining of tissue sections from the brain to quantify the amount of DNA damage in rats treated with HA, WBRT, or sham-irradiated (negative controls). Results: The mean dose delivered to radiochromic film beneath the hippocampal block was 0.52Gy compared to 3.93Gy without the block, indicating an 87% reduction in the dose delivered to the hippocampus. This difference was consistent with doses predicted by Monte Carlo dose calculation. The Dose Volume Histogram (DVH) generated via Monte Carlo simulation showed an underdosage of the target volume (brain minus hippocampus) with 50% of the target volume receiving 100% of the prescription isodose as a result of the lateral blocking techniques sparing some midline thalamic and subcortical tissue. Staining of brain sections with anti-phospho-Histone H2A.X (reflecting double-strand DNA breaks) demonstrated that this treatment protocol limited radiation dose to the hippocampus in vivo. The mean signal intensity from γ-H2Ax staining in the cortex was not significantly different from the signal intensity in the cortex of rats treated with WBRT (5.40 v. 5.75, P = 0.32). In contrast, the signal intensity in the hippocampus of rats treated with HA was significantly lower than rats treated with WBRT (4.55 v. 6.93, P = 0.012). Conclusion: Despite the challenges of planning conformal treatments for small volumes in rodents, our dosimetric and in vivo data show that WBRT with HA is feasible in rats. This study provides a useful platform for further application and refinement of the technique. Funding:
|
MRI with labeled structures from atlas registered to the CBCT. Registration was carried out with the open source imaging tool 3D Slicer, Version 4.4.0. |
Performance of Single And Multi-Atlas Based Automated Landmarking Methods Compared to Expert Annotations in Volumetric Microct Datasets of Mouse Mandibles
|
Publication: Front Zool. 2015 Dec 1;12:33. PMID: 26628903 | PDF Authors: Young R, Maga AM. Institution: Center for Developmental Biology and Regenerative Medicine, Seattle Children's Research Institute, Seattle, WA, USA. Background/Purpose: Here we present an application of advanced registration and atlas building framework DRAMMS to the automated annotation of mouse mandibles through a series of tests using single and multi-atlas segmentation paradigms and compare the outcomes to the current gold standard, manual annotation. Results: Our results showed multi-atlas annotation procedure yields landmark precisions within the human observer error range. The mean shape estimates from gold standard and multi-atlas annotation procedure were statistically indistinguishable for both Euclidean Distance Matrix Analysis (mean form matrix) and Generalized Procrustes Analysis (Goodall F-test). Further research needs to be done to validate the consistency of variance-covariance matrix estimates from both methods with larger sample sizes. Conclusion: Multi-atlas annotation procedure shows promise as a framework to facilitate truly high-throughput phenomic analyses by channeling investigators efforts to annotate only a small portion of their datasets. Funding:
|
Visualization of the distances between the atlas surface that was landmarked (p90) and four other surfaces constructed. a 50 % Probability surface (p50); b 70 % Probability surface (p70); c Surface thresholded at grayscale value of 35. d Surface thresholded at grayscale value of 55. RMS: Root mean square error. Segmented left hemi-mandibles were imported into 3D Slicer and visualized using a fixed rendering and threshold setting. |
|
Publication: Thorax 2015 ;70(Suppl. 3):A220. | PDF Authors: Khan KA, Nardelli P, Alex J, O’Shea C, Cantillon-Murphy P, Kennedy MP. Institution: Department of Respiratory Medicine, Cork University Hospital, University College Cork, Cork, Ireland. Background/Purpose: In the era of lung cancer screening, tissue acquisition of peripheral lung lesions remains a challenge. We have developed a 3D electromagnetic navigation platform with airway segmentation and virtual bronchoscopy using a open source 3D Slicer environment. Methods The open source visualization software (3D Slicer) created a detailed airway segmentation and virtual bronchoscopy model from acquired CT images. A magnetic field emitter board provides tracking of a semiautomatic locatable sensor probe (SALP) in the working channel of the bronchoscopewith always-on tip tracked sensor and can be steered both manually and automatically with joy stick, for accurate localization of peripheral lung lesion. An extensive ex-vivo evaluation was performed in a breathing lung model that was developed using inflatable plasticized pig lungs in a negative-pressure Following this, in-vivo real time navigation in a live porcine model using a selection of novel radioopaque fiducials placed endobronchially into distal airways. Results After completion of a selection of experiments using the breathing pig lung model, fiducials were placed endobronchially in our live porcine model. Thereafter, CT images were used to create a virtual airway 3D segmentation model. After multiplaner re-construction, land mark based registration was performed to align the CT and anaesthetised porcine. Manual and automatic navigation with the bronchoscope containing the SALP was performed. The average navigation distance covered was 85.3 mm. The navigational system accurately determined 84% of the navigation points within the airways. Conclusion Our navigational platform is inexpensive and open source and is the first to utilize SALP. In our model, there is good agreement between the position of the sensor probe during bronchoscopic navigation and as visualized in virtual bronchoscopy. Further work is being carried out to improve registration and accuracy of the navigational system before a pilot study in patients with peripheral lung nodules. |
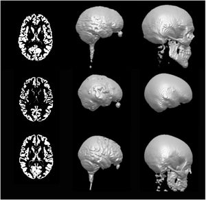
A Novel Procedure for Rapid Imaging of Adult Mouse Brains with MicroCT using Iodine-Based Contrast
|
Publication: PLoS One. 2015 Nov 16;10(11):e0142974. PMID: 26571123 | PDF Authors: Anderson R, Maga AM. Institution: Center for Developmental Biology and Regenerative Medicine, Seattle Children's Research Institute, Seattle, WA, USA. Background/Purpose: High-resolution Magnetic Resonance Imaging (MRI) has been the primary modality for obtaining 3D cross-sectional anatomical information in animals for soft tissue, particularly brain. However, costs associated with MRI can be considerably high for large phenotypic screens for gross differences in the structure of the brain due to pathology and/or experimental manipulations. MicroCT (mCT), especially benchtop mCT, is becoming a common laboratory equipment with throughput rates equal or faster than any form of high-resolution MRI at lower costs. Here we explore adapting previously developed contrast based mCT to image adult mouse brains in-situ. We show that 2% weight per volume (w/v) iodine-potassium iodide solution can be successfully used to image adult mouse brains within 48 hours post-mortem when a structural support matrix is used. We demonstrate that hydrogel can be effectively used as a perfusant, which limits the tissue shrinkage due to iodine. Funding:
|
A. A representative high-resolution MRI scan of an age matched C57BL/6J displaying the brain and the mCT overlay (yellow outline) from [21]. B. Equivalent cross sections from five females that constitute the Group A (Hg perfusion) after 48h of staining in 2% I2KI. C. One individual that constitutes Group B (PFA perfusion) after 48h of staining in 2% I2KI. D-F: Heatmaps showing the difference in the obtained segmentations with respect to the reference MRI atlas constructed from [21,22]. To remove volumetric differences due to sex and age, we isometrically scaled our segmented brains to match the volume of the reference MRI atlas. Root mean square (RMS) errors are calculated after the scaling. D: Comparison of our Group A mCT atlas. RMS = 0.128 mm. E: Comparison of individuals of Group A. RMS values are 0.172 mm, 0.143 mm, 0.156 mm, 0.142 mm, 0.196 mm respectively. F: Comparison of Group B. RMS = 0.232 mm. All comparisons are rendered on MRI reference atlas. Grey area in the heat map indicate regions of large difference (>0.5 mm) either due to extreme shrinkage or difference in segmentation. Using this outline as the boundary, stained brains were interactively segmented using the editor module of 3D Slicer. |
Comparison between Magnetic Resonance Imaging Estimates of Extracranial Cerebrospinal Fluid Volume and Physical Measurements in Healthy Dogs
|
Publication: Vet Radiol Ultrasound. 2015 Nov;56(6):658-65. PMID: 26311617 | PDF Authors: Reinitz LZ, Bajzik G, Garamvölgyi R, Petneházy Ö, Lassó A, Abonyi-Tóth Z, Lőrincz B, Sótonyi P. Institution: Faculty of Veterinary Science, Department of Anatomy and Histology, Szent István University, Godollo, Hungary. Background/Purpose: Dosages for myelography procedures in dogs are based on a hypothetical proportional relationship between bodyweight and cerebrospinal fluid (CSF) volume. Anecdotal radiographic evidence and recent studies have challenged the existence of such a defined relationship in dogs. The objectives of this prospective cross-sectional study were to describe CSF volumes using magnetic resonance imaging (MRI) in a group of clinically healthy dogs, measure the accuracy of MRI CSF volumes, and compare MRI CSF volumes with dog physical measurements. A sampling perfection with application optimized contrast using different flip-angle evolution MRI examination of the central nervous system was carried out on 12 healthy, male mongrel dogs, aged between 3 and 5 years with a bodyweight range of 7.5-35.0 kg. The images were processed with image analysis freeware (3D Slicer) in order to calculate the volume of extracranial CSF. Cylindrical phantoms of known volume were included in scans and used to calculate accuracy of MRI volume estimates. The accuracy of MRI volume estimates was 99.8%. Extracranial compartment CSF volumes ranged from 20.21 to 44.06 ml. Overall volume of the extracranial CSF increased linearly with bodyweight, but the proportional volume (ml/bodyweight kilograms) of the extracranial CSF was inversely proportional to bodyweight. Relative ratios of volumes in the cervical, thoracic, and lumbosacral regions were constant. Findings indicated that the current standard method of using body weight to calculate dosages of myelographic contrast agents in dogs may need to be revised. |
Automatic Classification of Prostate Cancer Gleason Scores from Multiparametric Magnetic Resonance Images
|
Publication: Proc Natl Acad Sci U S A. 2015 Nov 17;112(46):E6265-73. PMID: 26578786 | PDF Authors: Fehr D, Veeraraghavan H, Wibmer A, Gondo T, Matsumoto K, Vargas HA, Sala E, Hricak H, Deasy JO. Institution: Department of Medical Physics, Memorial Sloan Kettering Cancer Center, New York, NY, USA. Background/Purpose: Noninvasive, radiological image-based detection and stratification of Gleason patterns can impact clinical outcomes, treatment selection, and the determination of disease status at diagnosis without subjecting patients to surgical biopsies. We present machine learning-based automatic classification of prostate cancer aggressiveness by combining apparent diffusion coefficient (ADC) and T2-weighted (T2-w) MRI-based texture features. Our approach achieved reasonably accurate classification of Gleason scores (GS) [Formula: see text] vs. [Formula: see text] and [Formula: see text] vs. [Formula: see text] despite the presence of highly unbalanced samples by using two different sample augmentation techniques followed by feature selection-based classification. Our method distinguished between GS [Formula: see text] and [Formula: see text] cancers with 93% accuracy for cancers occurring in both peripheral (PZ) and transition (TZ) zones and 92% for cancers occurring in the PZ alone. Our approach distinguished the GS [Formula: see text] from GS [Formula: see text] with 92% accuracy for cancers occurring in both the PZ and TZ and with 93% for cancers occurring in the PZ alone. In comparison, a classifier using only the ADC mean achieved a top accuracy of 58% for distinguishing GS [Formula: see text] vs. GS [Formula: see text] for cancers occurring in PZ and TZ and 63% for cancers occurring in PZ alone. The same classifier achieved an accuracy of 59% for distinguishing GS [Formula: see text] from GS [Formula: see text] occurring in the PZ and TZ and 60% for cancers occurring in PZ alone. Separate analysis of the cancers occurring in TZ alone was not performed owing to the limited number of samples. Our results suggest that texture features derived from ADC and T2-w MRI together with sample augmentation can help to obtain reasonably accurate classification of Gleason patterns. Funding:
|
Example of (A) a GS 6(3+3) tumor and (B) a GS 9(4+5) tumor. The top row shows the ADC image with the computed energy and entropy values overlaid on the tumor. The bottom row shows the T2-w MR image with the computed energy and entropy values overlaid on the same tumor on the corresponding slice. The texture features were computed per voxel by using a 5×5×5 patch centered at each voxel. Tumors and normal structures were identified and volumetrically segmented on both the T2-w and ADC MR images using 3D Slicer. |
Association Between Vascular Anatomy and Posterior Communicating Artery Aneurysms
|
Publication: World Neurosurg. 2015 Nov;84(5):1251-5. PMID: 26074436 Authors: Can A, Ho AL, Emmer BJ, Dammers R, Dirven CM, Du R. Institution: Department of Neurosurgery, Brigham and Women's Hospital, Harvard Medical School, Boston, MA, USA. Background/Purpose: Hemodynamic stress, conditioned by the geometry and morphology of the vessel trees, plays an important role in the formation of intracranial aneurysms. The aim of this study was to identify image-based location-specific morphologic parameters that are associated with posterior communicating artery (PCoA) aneurysms. Methods: Morphologic parameters obtained from computed tomography angiography of 56 patients with PCoA aneurysms and 23 control patients were evaluated with 3D Slicer, an open-source image analysis software, to generate 3-dimensional models of the aneurysms and surrounding vasculature. Segment lengths, diameters, and vessel-to-vessel angles were examined. To control for genetic and clinical risk factors, the unaffected contralateral side of patients with unilateral PCoA aneurysms was used as a control group for internal carotid artery (ICA)-related parameters. A separate control group with visible PCoAs and aneurysms elsewhere was used as a control group for PCoA-related parameters. Results: Internal carotid artery-related parameters were not statistically different between the PCoA aneurysm and control groups. Univariate and multivariate subgroup analysis for patients with visualized PCoAs demonstrated that a larger PCoA diameter was significantly associated with the presence of a PCoA aneurysm (odds ratio = 12.1, 95% confidence interval = 1.3-17.1, P = 0.04) after adjusting for other morphologic parameters. Conclusions: Larger PCoA diameters are associated with the presence of PCoA aneurysms. These parameters may provide objective metrics to assess aneurysm formation and growth risk stratification in high-risk patients. |
Seeing More by Showing Less: Orientation-Dependent Transparency Rendering for Fiber Tractography Visualization
|
Publication: PLoS One. 2015 Oct 7;10(10):e0139434. PMID: 26444010 | PDF Authors: Tax CM, Chamberland M, van Stralen M, Viergever MA, Whittingstall K, Fortin D, Descoteaux M, Leemans A. Institution: Image Sciences Institute, University Medical Center Utrecht, Utrecht, The Netherlands. Background/Purpose: Fiber tractography plays an important role in exploring the architectural organization of fiber trajectories, both in fundamental neuroscience and in clinical applications. With the advent of diffusion MRI (dMRI) approaches that can also model "crossing fibers", the complexity of the fiber network as reconstructed with tractography has increased tremendously. Many pathways interdigitate and overlap, which hampers an unequivocal 3D visualization of the network and impedes an efficient study of its organization. We propose a novel fiber tractography visualization approach that interactively and selectively adapts the transparency rendering of fiber trajectories as a function of their orientation to enhance the visibility of the spatial context. More specifically, pathways that are oriented (locally or globally) along a user-specified opacity axis can be made more transparent or opaque. This substantially improves the 3D visualization of the fiber network and the exploration of tissue configurations that would otherwise be largely covered by other pathways. We present examples of fiber bundle extraction and neurosurgical planning cases where the added benefit of our new visualization scheme is demonstrated over conventional fiber visualization approaches. Funding:
|
Cluttered fiber tractography visualizations due to the ability to resolve “crossing fibers” at a voxel level and the great overlap of pathways. (a) At the location of the square in the anatomical T1-weighted image (left), the dODFs (visualized as spherical “glyph” representations overlaid on a fractional anisotropy map in the magnified box on the right) reveal fiber crossings at the voxel level [42]. (b) Left hemisphere: pathways greatly overlap, resulting in a cluttered view (superior) in which underlying pathway configurations are hidden. The square indicates the same location as in (a). Right hemisphere: orientation-dependent transparency rendering in which all streamline segments that run in the direction of the viewing axis are rendered transparent. In this way, the underlying structures are revealed and can be explored. |
MR Diffusion-weighted Imaging-based Subcutaneous Tumour Volumetry in a Xenografted Nude Mouse Model using 3D Slicer: An Accurate and Repeatable Method
|
Publication: Sci Rep. 2015 Oct 22;5:15653. PMID: 26489359 | PDF Authors: Ma Z, Chen X, Huang Y, He L, Liang C, Liang C, Liu Z. Institution: Department of Radiology, Guangdong General Hospital, Guangdong Academy of Medical Sciences, Guangzhou, Guangdong, China. Background/Purpose: Accurate and repeatable measurement of the gross tumor volume(GTV) of subcutaneous xenografts is crucial in the evaluation of anti-tumor therapy. Formula and image-based manual segmentation methods are commonly used for GTV measurement but are hindered by low accuracy and reproducibility. 3D Slicer is open-source software that provides semiautomatic segmentation for GTV measurements. In our study, subcutaneous GTVs from nude mouse xenografts were measured by semiautomatic segmentation with 3D Slicer based on morphological magnetic resonance imaging(mMRI) or diffusion-weighted imaging(DWI)(b = 0,20,800 s/mm(2)) . These GTVs were then compared with those obtained via the formula and image-based manual segmentation methods with ITK software using the true tumor volume as the standard reference. The effects of tumor size and shape on GTVs measurements were also investigated. Our results showed that, when compared with the true tumor volume, segmentation for DWI(P = 0.060-0.671) resulted in better accuracy than that mMRI(P < 0.001) and the formula method(P < 0.001). Furthermore, semiautomatic segmentation for DWI(intraclass correlation coefficient, ICC = 0.9999) resulted in higher reliability than manual segmentation(ICC = 0.9996-0.9998). Tumour size and shape had no effects on GTV measurement across all methods. Therefore, DWI-based semiautomatic segmentation, which is accurate and reproducible and also provides biological information, is the optimal GTV measurement method in the assessment of anti-tumor treatments. Funding:
|
MRI-based tumor volume segmentations with the semiautomatic and manual segmentation methods. Tumour segmentation was performed with 3D Slicer v4.3 software. The leftmost images present the same subcutaneous tumor (red arrows) on an axial slice: b = 0 s/mm2 DWI (uppermost), b = 20 s/mm2 DWI (second image from the top), b = 800 s/mm2 DWI (third image from the top), and mMRI MRI (lowest). Moreover, comparison of total tumors in corresponding sequences obtained from semiautomatic segmentation by 3D Slicer (green, middle images) and manual segmentation by ITK (blue, rightmost images) are presented. |
Spinal Cord Segmentation by One Dimensional Normalized Template Matching: A Novel, Quantitative Technique to Analyze Advanced Magnetic Resonance Imaging Data
|
Publication: PLoS One. 2015 Oct 7;10(10):e0139323. PMID: 26445367 | PDF Authors: Cadotte A, Cadotte DW, Livne M, Cohen-Adad J, Fleet D, Mikulis D, Fehlings MG. Institution: Department of Surgery, Division of Neurosurgery, University of Toronto, Toronto, Ontario, Canada. Background/Purpose: Spinal cord segmentation is a developing area of research intended to aid the processing and interpretation of advanced magnetic resonance imaging (MRI). For example, high resolution three-dimensional volumes can be segmented to provide a measurement of spinal cord atrophy. Spinal cord segmentation is difficult due to the variety of MRI contrasts and the variation in human anatomy. In this study we propose a new method of spinal cord segmentation based on one-dimensional template matching and provide several metrics that can be used to compare with other segmentation methods. A set of ground-truth data from 10 subjects was manually-segmented by two different raters. These ground truth data formed the basis of the segmentation algorithm. A user was required to manually initialize the spinal cord center-line on new images, taking less than one minute. Template matching was used to segment the new cord and a refined center line was calculated based on multiple centroids within the segmentation. Arc distances down the spinal cord and cross-sectional areas were calculated. Inter-rater validation was performed by comparing two manual raters (n = 10). Semi-automatic validation was performed by comparing the two manual raters to the semi-automatic method (n = 10). Comparing the semi-automatic method to one of the raters yielded a Dice coefficient of 0.91 ± 0.02 for ten subjects, a mean distance between spinal cord center lines of 0.32 ± 0.08 mm, and a Hausdorff distance of 1.82 ± 0.33 mm. The absolute variation in cross-sectional area was comparable for the semi-automatic method versus manual segmentation when compared to inter-rater manual segmentation. The results demonstrate that this novel segmentation method performs as well as a manual rater for most segmentation metrics. It offers a new approach to study spinal cord disease and to quantitatively track changes within the spinal cord in an individual case and across cohorts of subjects. Funding: |
Examples of difficult segmentations due to reduced CSF, artifacts, and spinal rootlets. In the first four examples, the segmentation performed well. In the next two examples (third and fourth rows), applying a smoothing filter improved the segmentation result due to reduced CSF volume and image artifacts. The semi-automated segmentation method requires initial user input to approximate the center of the non-segmented spinal cord, between the start and end points of the desired segmentation region, using 3D Slicer. |
Two-Center Prospective, Randomized, Clinical, and Radiographic Study Comparing Osteotome Sinus Floor Elevation with or without Bone Graft and Simultaneous Implant Placement
|
Publication: Clin Implant Dent Relat Res. 2016 Oct;18(5):873-882. PMID: 26315564 | PDF Authors: Marković A, Mišić T, Calvo-Guirado JL, Delgado-Ruíz RA, Janjić B, Abboud M. Institution: Clinic of Oral Surgery, School of Dental Medicine, University of Belgrade, Belgrade, Serbia. Background/Purpose: To evaluate stability and success rate of hydrophilic nanostructured implants placed via osteotome sinus floor elevation (OSFE) without grafting material or using β-tricalcium phosphate (β-TCP), deproteinized bovine bone (DBB), or their combination, and also to assess three-dimensional volumetric stability of endo-sinus bone gained in the aforementioned conditions. Materials and Methods: OSFE with simultaneous implant placement (10-mm long SLActive-BL® , Straumann, Basel, Switzerland) was performed. Grafting materials were randomly allocated to implant sites, whereas one site was left without graft. Implant stability was measured by resonance frequency analysis over 6 months. Implant success was evaluated after 2 years of loading. Volume of new endo-sinus bone was calculated from CBCT images using 3D Slicer software. Results: A total of 180 implants were inserted into posterior maxilla of 45 patients with 6.59 ± 0.45 mm of residual bone height, and all remained successful after 2 years. Implant stability steadily increased during healing, without significant difference between groups (p = .658). After 2 years, endo-sinus bone significantly shrank (p < .001) in all groups (DBB:66.34%; β-TCP:61.44%; new bone formed from coagulum: 53.02%; β-TCP + DBB:33.47%). Conclusions: Endo-sinus bone gained after OSFE inevitably and significantly shrinks regardless of whether grafting material is applied or not. Grafting material offers no significant advantage to stability nor clinical success of hydrophilic and nanostructured implants placed simultaneously with OSFE. |
A Multidimensional Dynamic Quantification Tool for the Mitral Valve
|
Publication: Interact Cardiovasc Thorac Surg. 2015 Oct;21(4):481-7. PMID: 26174119 | PDF Authors: Hossien A, Nithiarasu P, Cheriex E, Maessen J, Sardari Nia P, Ashraf S. Institution: College of Medicine, Swansea University, Swansea, UK. Background/Purpose: The mitral valve (MV) is a complex three-dimensional (3D) intracardiac structure. 3D transthoracic and transoesophageal echocardiography are used to evaluate and describe the changes in the mitral valve apparatus due to degenerative or functional mitral regurgitation. These techniques are, however, not accurate enough to capture the dynamic changes during the cardiac cycle. We describe a novel multistage modelling (MSM) technique, using three-dimensional transoesophageal echocardiography (3D TOE), to visualize and quantify the MV during all the phases of the cardiac cycle. Methods: Using 3D TOE, sets of images were obtained from 32 individuals who were undergoing surgery for other reasons and who did not have MV disease. These images were divided into six steps whereby every step represented one cardiac cycle. The image sets were then cropped and sliced at the level of MV, then imported and segmented by the open source software (3D Slicer) to create 3D mathematical models. The models were synchronized with patient's ECGs and then reunited and exported as multiphase dynamic models. The models were analysed in two steps: (i) direct step-by-step visual inspections of the MV from various angles and (ii) direct measurements of anteroposterior, intercommissural, anterolateral-posteromedial diameters, anterolateral angles and anteroposterior angles in systole and diastole at different levels. Results: The segmentation results in 32 × 6 high-quality cropped MV. The division of models into six steps allows quantification and tracking of MV movement. Reunion of the models leads to creation of a full real-time simulation of the MV during the cardiac cycle. Synchronization of the models with ECG enables accurate simulation. Measurements of the diameters showed: median intercommissural diameters were increased with 10% from mid-systole to mid-diastole [31.9 mm (28.9-34.9), 34.8 mm (31.2-38.2), respectively, P-value <0.001]. This was also observed for anteroposterior diameters [33.8 mm (29.8-35.2), 37.1 mm (31.8-38.5), respectively, P-value <0.001]. Anterolateral-posteromedial diameter did not change significantly in both phases [43.7 mm (36.3-48.9), 43.5 mm (35.5-47.5), respectively]. Intercommissural and anteroposterior diameters were approximately the same in systole [31.9 mm (28.9-34.9) and 32.5 mm (29.8-35.2)] and diastole [34.8 mm (31.2-38.2) and 35.2 mm (31.8-38.5)]. Measurements of anteroposterior angle at the anterolateral junction showed that this angle was accentuated acutely in diastole rather in systole [115° (104-129), 126° (113-137), respectively, P-value <0.001]. It was the same when measuring the anterolateral angle [105° (97-113), 119° (106-130), respectively, P-value <0.001]. Conclusion: The novel MSM technique allows precise quantification of shape changes in MV, which may help in better understanding the normal MV physiology, facilitate the diagnosis of MV pathologies and lead to numerical simulation of MV flow and displacement. It can also help cardiac surgeons and cardiologists gain a better understanding of the MV and assist them in obtaining a reliable orientation in order to choose optimal treatment strategies and plan surgical interventions. The measurement of the new anterolateral angle allowed better quantification of mitral annulus angulation and could be considered as new parameter that may help in future development of a new generation of mitral rings. |
Measurements of different diameters of the mitral valve (MV) in mid-systole and -diastole. (A) Measurement of intercommissural diameter. (B) Measurement anteroposterior diameter of the MV. (C)Measurement of anterolateral–posteromedial diameter. (D)Measurement of anteroposterior angle at the commissural level. |
Clinical and Radiologic Disease in Smokers With Normal Spirometry
|
Publication: JAMA Intern Med. 2015 Sep;175(9):1539-49. PMID: 26098755 | PDF Authors: Regan EA, Lynch DA, Curran-Everett D, Curtis JL, Austin JH, Grenier PA, Kauczor HU, Bailey WC, DeMeo DL, Casaburi RH, Friedman P, Van Beek EJ, Hokanson JE, Bowler RP, Beaty TH, Washko GR, Han MK, Kim V, Kim SS, Yagihashi K, Washington L, McEvoy CE, Tanner C, Mannino DM, Make BJ, Silverman EK, Crapo JD; Genetic Epidemiology of COPD (COPDGene) Investigators. Institution: National Jewish Health, Denver, CO, USA. Background/Purpose: IMPORTANCE: Airflow obstruction on spirometry is universally used to define chronic obstructive pulmonary disease (COPD), and current or former smokers without airflow obstruction may assume that they are disease free. OBJECTIVE: To identify clinical and radiologic evidence of smoking-related disease in a cohort of current and former smokers who did not meet spirometric criteria for COPD, for whom we adopted the discarded label of Global Initiative for Obstructive Lung Disease (GOLD) 0. DESIGN, SETTING, AND PARTICIPANTS: Individuals from the Genetic Epidemiology of COPD (COPDGene) cross-sectional observational study completed spirometry, chest computed tomography (CT) scans, a 6-minute walk, and questionnaires. Participants were recruited from local communities at 21 sites across the United States. The GOLD 0 group (n = 4388) (ratio of forced expiratory volume in the first second of expiration [FEV1] to forced vital capacity >0.7 and FEV1 ≥80% predicted) from the COPDGene study was compared with a GOLD 1 group (n = 794), COPD groups (n = 3690), and a group of never smokers (n = 108). Recruitment began in January 2008 and ended in July 2011. MAIN OUTCOMES AND MEASURES: Physical function impairments, respiratory symptoms, CT abnormalities, use of respiratory medications, and reduced respiratory-specific quality of life. Results: One or more respiratory-related impairments were found in 54.1% (2375 of 4388) of the GOLD 0 group. The GOLD 0 group had worse quality of life (mean [SD] St George's Respiratory Questionnaire total score, 17.0 [18.0] vs 3.8 [6.8] for the never smokers; P < .001) and a lower 6-minute walk distance, and 42.3% (127 of 300) of the GOLD 0 group had CT evidence of emphysema or airway thickening. The FEV1 percent predicted distribution and mean for the GOLD 0 group were lower but still within the normal range for the population. Current smoking was associated with more respiratory symptoms, but former smokers had greater emphysema and gas trapping. Advancing age was associated with smoking cessation and with more CT findings of disease. Individuals with respiratory impairments were more likely to use respiratory medications, and the use of these medications was associated with worse disease. CONCLUSIONS AND RELEVANCE: Lung disease and impairments were common in smokers without spirometric COPD. Based on these results, we project that there are 35 million current and former smokers older than 55 years in the United States who may have unrecognized disease or impairment. The effect of chronic smoking on the lungs and the individual is substantially underestimated when using spirometry alone. Funding:
|
Value Of Virtual Endoscopy In Diagnosis And Treatment For Hydrocephalus After Failed Shunt
|
Publication: Zhonghua Yi Xue Za Zhi. 2015 Aug 4;95(29):2359-62. PMID: 26711070 | PDF Authors: Song Z, Tang Y, Chen X2, Zhou L, Du G, Yi L, Yang X, Yu X, Zhou D. Institution: Department of Neurosurgery, Chinese PLA 458th Hospital, Guangzhou, China. Abstract: OBJECTIVE: To investigate the value of virtual endoscopy in diagnosis and treatment of hydrocephalus after failed shunt. METHODS: we performed magnetic resonance imaging (MRI) 3D-SPACE sequence scanning for 76 patients suffering from hydrocephalus after failed shunt. Based on the DICOM data of 3D-SPACE sequence, we three-dimensionally reconstructed the ventricles and simulated virtual endoscopy with 3D Slicer software. Surgical strategy was made after evaluation of virtual endoscopy images. RESULTS: Virtual endoscopy based on 3D-SPACE images was helpful to depict the aqueduct or foramen of Monro obstructions, and confirm the reason of shunt failure. Finally, there were 56 hydrocephalus patients (73.7%) were treated with endoscopic assisted third ventricle fistula (ETV), without shunt catheter insertion. CONCLUSION: For patients suffering from shunt failure of hydrocephalus, virtual endoscopy has high diagnostic yield rate for providing more detailed anatomical information than conventional MR imaging. Hence, this advanced imaging method is helpful for surgical treatment strategy decision making. |
Isometric Scaling in Developing Long Bones Is Achieved by an Optimal Epiphyseal Growth Balance
|
Publication: PLoS Biol. 2015 Aug 4;13(8):e1002212. PMID: 26241802 | PDF Authors: Stern T, Aviram R, Rot C, Galili T, Sharir A, Kalish Achrai N, Keller Y, Shahar R, Zelzer E. Institution: Department of Molecular Genetics, Weizmann Institute of Science, Rehovot, Israel. Background/Purpose: One of the major challenges that developing organs face is scaling, that is, the adjustment of physical proportions during the massive increase in size. Although organ scaling is fundamental for development and function, little is known about the mechanisms that regulate it. Bone superstructures are projections that typically serve for tendon and ligament insertion or articulation and, therefore, their position along the bone is crucial for musculoskeletal functionality. As bones are rigid structures that elongate only from their ends, it is unclear how superstructure positions are regulated during growth to end up in the right locations. Here, we document the process of longitudinal scaling in developing mouse long bones and uncover the mechanism that regulates it. To that end, we performed a computational analysis of hundreds of three-dimensional micro-CT images, using a newly developed method for recovering the morphogenetic sequence of developing bones. Strikingly, analysis revealed that the relative position of all superstructures along the bone is highly preserved during more than a 5-fold increase in length, indicating isometric scaling. It has been suggested that during development, bone superstructures are continuously reconstructed and relocated along the shaft, a process known as drift. Surprisingly, our results showed that most superstructures did not drift at all. Instead, we identified a novel mechanism for bone scaling, whereby each bone exhibits a specific and unique balance between proximal and distal growth rates, which accurately maintains the relative position of its superstructures. Moreover, we show mathematicaly that this mechanism minimizes the cumulative drift of all superstructures, thereby optimizing the scaling process. Our study reveals a general mechanism for the scaling of developing bones. More broadly, these findings suggest an evolutionary mechanism that facilitates variability in bone morphology by controlling the activity of individual epiphyseal plates. Funding:
|
Accurate registration of bones from different developmental stages is achieved by matching the cortical cores. (A) A time chart of calcein and alizarin injection regimes. To cover the entire period effectively, three marginally overlapping regimes were applied. (B) Histological sections from each of the three injection regimes. At E18.5, green-labeled regions are seen around the middle part of the cortical core in both humerus and femur sections, indicating temporally preserved mineral structures. Similar temporal preservation of the cortical core is exhibited during perinatal and early postnatal development. (C) Color-coded statistical maps depicting the fraction of bones that are mineralized at each point in the bone, based on frontal slices of the femur. Clusters are composed of all bones from a single developmental day (top row), pairs (middle row), and triplets (bottom row) of consecutive developmental days. Regions that are highly preserved in population over several days (color-coded red; middle and bottom rows) are located mostly around the middle part of the cortical core. (D) A time series of frontal slices of the femur with the cortical core highlighted in each image with a different color. On the right is an overlay of all cortical core highlights following anatomical matching. The high overlap between segments demonstrates the potential of the cortical core to serve as a reliable salient structure for accurate anatomical matching of embryonic and early postnatal bones. Scale bars: 500 μm in B–D, 25 μm in B insets I and II, and 50 μm in B inset III. Manual image registration for the assessment of preservation of mineralized structures and for spatial standardization of all in vivo images was performed using the free and open-source software package 3D Slicer v.3.6. |
A Statistical Shape Model of the Human Second Cervical Vertebra
|
Publication: Int J Comput Assist Radiol Surg. 2015 Jul;10(7):1097-107. PMID: 25354900 Authors: Clogenson M, Duff JM, Luethi M, Levivier M, Meuli R, Baur C, Henein S. Institution: Instant-Lab, École Polytechnique Fédérale de Lausanne, Neuchâtel, Switzerland. Background/Purpose: Statistical shape and appearance models play an important role in reducing the segmentation processing time of a vertebra and in improving results for 3D model development. Here, we describe the different steps in generating a statistical shape model (SSM) of the second cervical vertebra (C2) and provide the shape model for general use by the scientific community. The main difficulties in its construction are the morphological complexity of the C2 and its variability in the population. Methods: The input dataset is composed of manually segmented anonymized patient computerized tomography (CT) scans. The alignment of the different datasets is done with the procrustes alignment on surface models, and then, the registration is cast as a model-fitting problem using a Gaussian process. A principal component analysis (PCA)-based model is generated which includes the variability of the C2. Results: The SSM was generated using 92 CT scans. The resulting SSM was evaluated for specificity, compactness and generalization ability. The SSM of the C2 is freely available to the scientific community in 3D Slicer (an open source software for image analysis and scientific visualization) with a module created to visualize the SSM using Statismo, a framework for statistical shape modeling. Conclusion: The SSM of the vertebra allows the shape variability of the C2 to be represented. Moreover, the SSM will enable semi-automatic segmentation and 3D model generation of the vertebra, which would greatly benefit surgery planning. |
Bone Engineering of Maxillary Sinus Bone Deficiencies using Enriched CD90+ Stem Cell Therapy: A Randomized Clinical Trial
|
Publication: J Bone Miner Res. 2015 Jul;30(7):1206-16. PMID: 25652112 | PDF Authors: Kaigler D, Avila-Ortiz G, Travan S, Taut AD, Padial-Molina M, Rudek I, Wang F, Lanis A, Giannobile WV. Institution: Department of Periodontics and Oral Medicine, University of Michigan School of Dentistry, Ann Arbor, MI, USA. Background/Purpose: Bone engineering of localized craniofacial osseous defects or deficiencies by stem cell therapy offers strong prospects to improve treatment predictability for patient care. The aim of this phase I/II randomized, controlled, clinical trial was to evaluate reconstruction of bone deficiencies of the maxillary sinus with transplantation of autologous cells enriched with CD90+ stem cells and CD14+ monocytes. Thirty human participants requiring bone augmentation of the maxillary sinus were enrolled. Patients presenting with 50-80% bone deficiencies of the maxillary sinus were randomized to receive either stem cells delivered onto a β-tricalcium phosphate scaffold, or scaffold alone. Four months following treatment, clinical, radiographic, and histologic analyses were performed to evaluate de novo engineered bone. At the time of alveolar bone core harvest, oral implants were installed in the engineered bone and later functionally restored with dental tooth prostheses. Radiographic analyses showed no difference in the total bone volume gained between treatment groups, however, density of the engineered bone was higher in patients receiving stem cells. Bone core biopsies showed that stem cell therapy provided the greatest benefit in the most severe deficiencies, yielding better bone quality than control patients, as evidenced by higher bone volume fraction (BVF; 0.5 vs. 0.4; p=0.04). Assessment of the relation between degree of CD90+ stem cell enrichment and BVF showed that the higher the CD90 composition of transplanted cells, the greater the BVF of regenerated bone (r=0.56; p=0.05). Oral implants were placed and restored with functionally-loaded dental restorations in all patients and no treatment-related adverse events were reported at the one-year follow-up. These results provide evidence that cell-based therapy using enriched CD90+ stem cell populations is safe for maxillary sinus floor reconstruction and offers potential to accelerate and enhance tissue engineered bone quality in other craniofacial bone defects and deficiencies. An automated, voxel-based registration method was performed with 3D Slicer. Funding:
|
Three-Dimensional Eyeball and Orbit Volume Modification After LeFort III Midface Distraction
|
Publication: J Craniofac Surg. 2015 Jul;26(5):1652-5. PMID: 26086925 Authors: Smektala T, Nysjö J, Thor A, Homik A, Sporniak-Tutak K, Safranow K, Dowgierd K, Olszewski R. Institution: Department of Maxillofacial Surgery, Pomeranian Medical University, Szczecin, Poland. Background/Purpose: The aim of our study was to evaluate orbital volume modification with LeFort III midface distraction in patients with craniosynostosis and its influence on eyeball volume and axial diameter modification. Orbital volume was assessed by the semiautomatic segmentation method based on deformable surface models and on 3-dimensional (3D) interaction with haptics. The eyeball volumes and diameters were automatically calculated after manual segmentation of computed tomographic scans with 3D Slicer software. The mean, minimal, and maximal differences as well as the standard deviation and intraclass correlation coefficient (ICC) for intraobserver and interobserver measurements reliability were calculated. The Wilcoxon signed rank test was used to compare measured values before and after surgery. P < 0.05 was considered statistically significant. Intraobserver and interobserver ICC for haptic-aided semiautomatic orbital volume measurements were 0.98 and 0.99, respectively. The intraobserver and interobserver ICC values for manual segmentation of the eyeball volume were 0.87 and 0.86, respectively. The orbital volume increased significantly after surgery: 30.32% (mean, 5.96 mL) for the left orbit and 31.04% (mean, 6.31 mL) for the right orbit. The mean increase in eyeball volume was 12.3%. The mean increases in the eyeball axial dimensions were 7.3%, 9.3%, and 4.4% for the X-, Y-, and Z-axes, respectively. The Wilcoxon signed rank test showed that preoperative and postoperative eyeball volumes, as well as the diameters along the X- and Y-axes, were statistically significant. Midface distraction in patients with syndromic craniostenosis results in a significant increase (P < 0.05) in the orbit and eyeball volumes. The 2 methods (haptic-aided semiautomatic segmentation and manual 3D Slicer segmentation) are reproducible techniques for orbit and eyeball volume measurements. |
High-field Functional Magnetic Resonance Imaging of Vocalization Processing in Marmosets
|
Publication: Sci Rep. 2015 Jun 19;5:10950. PMID: 26091254 | PDF Authors: Sadagopan S, Temiz-Karayol NZ, Voss HU. Institution: Laboratory of Neural Systems, Rockefeller University, New York, NY. Background/Purpose: Vocalizations are behaviorally critical sounds, and this behavioral importance is reflected in the ascending auditory system, where conspecific vocalizations are increasingly over-represented at higher processing stages. Recent evidence suggests that, in macaques, this increasing selectivity for vocalizations might culminate in a cortical region that is densely populated by vocalization-preferring neurons. Such a region might be a critical node in the representation of vocal communication sounds, underlying the recognition of vocalization type, caller and social context. These results raise the questions of whether cortical specializations for vocalization processing exist in other species, their cortical location, and their relationship to the auditory processing hierarchy. To explore cortical specializations for vocalizations in another species, we performed high-field fMRI of the auditory cortex of a vocal New World primate, the common marmoset (Callithrix jacchus). Using a sparse imaging paradigm, we discovered a caudal-rostral gradient for the processing of conspecific vocalizations in marmoset auditory cortex, with regions of the anterior temporal lobe close to the temporal pole exhibiting the highest preference for vocalizations. These results demonstrate similar cortical specializations for vocalization processing in macaques and marmosets, suggesting that cortical specializations for vocal processing might have evolved before the lineages of these species diverged. |
BOLD activity in the auditory cortex. (A) Six slices (green lines) of 1.2 mm thickness were positioned parallel to the lateral sulcus (LS; blue line), with the last slice abutting the LS. Dark gray structure is a surface reconstruction of Subject C’s brain from an anatomical scan, light gray region corresponds to the indexed location of functional slices, and heatmap corresponds to regions of significant BOLD activation (t ≥ 5). (B) Three dimensional view showing slice positioning relative to the whole brain, and regions of significant BOLD activation (heatmap). (C) Average predictor value (beta) for the three vocalization stimuli mapped on to an anatomical MRI (left side of figure is left hemisphere). Here the heat map corresponds to the percent change in BOLD activation, transparency corresponds to the t-statistic, and black contours encompass regions with a t-statistic greater than five (corresponds to FDR-corrected q value < 10−5). (D) Average time-course from all voxels with t > 5, across 10 repetitions of the three vocalization stimuli – conspecific vocalizations (V; red shading), phase-scrambled vocalizations (N; green shading) and heterospecific vocalizations (H; blue shading). (E) Time-course data in (D) averaged over all 10 repetitions for significant cortical voxels (t > 5). |
Optimizing Parameters of an Open-source Airway Segmentation Algorithm using Different CT Images
|
Publication: Biomed Eng Online. 2015 Jun 26;14:62. PMID: 26112975 | PDF Authors: Nardelli P, Khan KA, Corvò A, Moore N, Murphy MJ, Twomey M, O'Connor OJ, Kennedy MP, Estépar RS, Maher MM, Cantillon-Murphy P. Institution: School of Engineering, University College Cork, Cork, Ireland. Background/Purpose: Computed tomography (CT) helps physicians locate and diagnose pathological conditions. In some conditions, having an airway segmentation method which facilitates reconstruction of the airway from chest CT images can help hugely in the assessment of lung diseases. Many efforts have been made to develop airway segmentation algorithms, but methods are usually not optimized to be reliable across different CT scan parameters. Methods: In this paper, we present a simple and reliable semi-automatic algorithm which can segment tracheal and bronchial anatomy using the open-source 3D Slicer platform. The method is based on a region growing approach where trachea, right and left bronchi are cropped and segmented independently using three different thresholds. The algorithm and its parameters have been optimized to be efficient across different CT scan acquisition parameters. The performance of the proposed method has been evaluated on EXACT'09 cases and local clinical cases as well as on a breathing pig lung phantom using multiple scans and changing parameters. In particular, to investigate multiple scan parameters reconstruction kernel, radiation dose and slice thickness have been considered. Volume, branch count, branch length and leakage presence have been evaluated. A new method for leakage evaluation has been developed and correlation between segmentation metrics and CT acquisition parameters has been considered. Results: All the considered cases have been segmented successfully with good results in terms of leakage presence. Results on clinical data are comparable to other teams' methods, as obtained by evaluation against the EXACT09 challenge, whereas results obtained from the phantom prove the reliability of the method across multiple CT platforms and acquisition parameters. As expected, slice thickness is the parameter affecting the results the most, whereas reconstruction kernel and radiation dose seem not to particularly affect airway segmentation. Conclusion: The system represents the first open-source airway segmentation platform. The quantitative evaluation approach presented represents the first repeatable system evaluation tool for like-for-like comparison between different airway segmentation platforms. Results suggest that the algorithm can be considered stable across multiple CT platforms and acquisition parameters and can be considered as a starting point for the development of a complete airway segmentation algorithm. |
Cross-Validation of 3D Gamma Comparison Tools
|
Publication: Med Phys. 2015 Jun;42(6):3385. Authors: Alexander KM, Jechel C, Pinter C, Salomons G, Lasso A, Fichtinger G, Schreiner LJ. Institution: Department of Physics, Engineering Physics, and Astronomy, Queen's University, Kingston, Ontario, Canada. Background/Purpose: Moving the computational analysis for 3D gel dosimetry into the 3D Slicer environment has made gel dosimetry more clinically accessible. To ensure accuracy, we cross-validate the 3D gamma comparison module in 3D Slicer with an independently developed algorithm using simulated and measured dose distributions. Methods: Two reference dose distributions were generated using the Varian Eclipse treatment planning system. The first distribution consisted of a four-field box irradiation delivered to a plastic water phantom and the second, a VMAT plan delivered to a gel dosimeter phantom. The first reference distribution was modified within Eclipse to create an evaluated dose distribution by spatially shifting one field by 3 mm, increasing the monitor units of the second field, applying a dynamic wedge for the third field, and leaving the fourth field unchanged. The VMAT plan was delivered to a gel dosimeter and the evaluated dose in the gel was calculated from optical CT measurements. Results from the gamma comparison tool built into the SlicerRT toolbox were compared to results from our in-house gamma algorithm implemented in Matlab (via MatlabBridge in 3D Slicer). The effects of noise, resolution and the exchange of reference and evaluated designations on the gamma comparison were also examined. Results: Perfect agreement was found between the gamma results obtained using the SlicerRT tool and our Matlab implementation for both the four-field box and gel datasets. The behavior of the SlicerRT comparison with respect to changes in noise, resolution and the role of the reference and evaluated dose distributions was consistent with previous findings. Conclusion: Two independently developed gamma comparison tools have been cross-validated and found to be identical. As we transition our gel dosimetry analysis from Matlab to 3D Slicer, this validation serves as an important test towards ensuring the consistency of dose comparisons using the 3D Slicer environment. |
Effect of Pulse Sequence Parameters On Geometric Distortions Induced by a Titanium Brachytherapy Applicator
|
Publication: Med Phys. 2015 Jun;42(6):3313. Authors: Shea S, Diak A, Surucu M, Harkenrider M, Yacoub J, Roeske J, Small W. Institution: Loyola University Chicago, IL, USA. Background/Purpose: To investigate the effect of readout bandwidth and voxel size on the appearance of distortion artifacts caused by a titanium brachytherapy applicator. Methods: An acrylic phantom was constructed to rigidly hold a MR conditional, titanium Fletcher-Suit-Delclos-style applicator set (Varian Medical Systems) for imaging on CT (Philips Brilliance) and 1.5T MRI (Siemens Magnetom Aera). Several variants of MRI parameters were tried for 2D T2-weighted turbo spin echo imaging in comparison against the standard clinical protocol with the criteria to keep relative SNR loss less than 20% and imaging time as short as possible. Two 3D sequences were also used for comparison with similar parameters. The applicator tandem was segmented on axial CT images (0.4×0.4×1.5mm3 resolution) and the CT images were registered to the 3D MR images in Eclipse (Varian). The applicator volume was then overlaid on all MRI sets in 3D Slicer and distances were measured from the tandem tip to the MRI artifact edge in right/left/superior and anterior/posterior/superior directions from coronal and sagittal 2D acquisitions, respectively, or 3D data reformats. Artifact regions were also manually contoured in coronal/sagittal orientations for area measurements. Results: As would be expected, reductions in voxel size and increases in readout bandwidth reduced artifact size (average max artifact length decreased by 0.95 mm and average max area decrease by 0.27 cm2). Interestingly, bandwidth increases yielded reductions in area (0.19 cm2) and in distance measurements (1 mm) even with voxel increases, as compared to a standard protocol. This could be useful when high performance protocols are not feasible due to long imaging times. Conclusion: We have characterized artifacts caused by cervical brachytherapy applicator across multiple sequence parameters at 1.5T. Future work will focus on finalizing an optimal protocol that balances artifact reduction with imaging time and then testing this new protocol in patients. |
|
Publication: Ultrasound Med Biol. 2015 Aug;41(8):2220-31. PMID: 25964065 Authors: Rafii-Tari H, Lessoway VA, Kamani AA, Abolmaesumi P, Rohling R. Institution: The Hamlyn Centre for Robotic Surgery, Imperial College London, London, UK. Background/Purpose: Despite the common use of epidural anesthesia in obstetrics and surgery, the procedure can be challenging, especially for obese patients. We propose the use of an ultrasound guidance system employing a transducer-mounted camera to create 3-D panorama ultrasound volumes of the spine, thereby allowing identification of vertebrae and selection of puncture site, needle trajectory and depth of insertion. The camera achieves absolute position estimation of the transducer with respect to the patient using a specialized marker strip attached to the skin surface. The guidance system is validated first on a phantom against a commercial optical tracking system and then in vivo by comparing panorama images from human subjects against independent measurements by an experienced sonographer. The results for measuring depth to the epidural space, intervertebral spacing and registration of interspinous gaps to the skin prove the potential of the system for improving guidance of epidural anesthesia. The tracking and visualization are implemented in real time using the 3D Slicer software package. |
Towards the Personalized Treatment of Glioblastoma: Integrating Patient-Specific Clinical Data in a Continuous Mechanical Model
|
Publication: PLoS One. 2015 Jul 17;10(7):e0132887. PMID: 26186462 | PDF Authors: Colombo MC, Giverso C, Faggiano E, Boffano C, Acerbi F, Ciarletta P Institution: Department of Mathematics, Politecnico di Milano, Milano, Italy. Background/Purpose: Glioblastoma multiforme (GBM) is the most aggressive and malignant among brain tumors. In addition to uncontrolled proliferation and genetic instability, GBM is characterized by a diffuse infiltration, developing long protrusions that penetrate deeply along the fibers of the white matter. These features, combined with the underestimation of the invading GBM area by available imaging techniques, make a definitive treatment of GBM particularly difficult. A multidisciplinary approach combining mathematical, clinical and radiological data has the potential to foster our understanding of GBM evolution in every single patient throughout his/her oncological history, in order to target therapeutic weapons in a patient-specific manner. In this work, we propose a continuous mechanical model and we perform numerical simulations of GBM invasion combining the main mechano-biological characteristics of GBM with the micro-structural information extracted from radiological images, i.e. by elaborating patient-specific Diffusion Tensor Imaging (DTI) data. The numerical simulations highlight the influence of the different biological parameters on tumor progression and they demonstrate the fundamental importance of including anisotropic and heterogeneous patient-specific DTI data in order to obtain a more accurate prediction of GBM evolution. The results of the proposed mathematical model have the potential to provide a relevant benefit for clinicians involved in the treatment of this particularly aggressive disease and, more importantly, they might drive progress towards improving tumor control and patient’s prognosis. |
Post-contrast T1-MR of a patient affected by GBM and corresponding segmented slices. Using an expectation maximization approach [66] implemented in the open source software package 3D Slicer, the anatomical structures are automatically segmented and the four areas of interest (i.e. gray matter, white matter, cerebrospinal (CSF) fluid and background) are identified and labeled. |
Intraoperative Image-guided Transoral Robotic Surgery: Pre-clinical Studies
|
Publication: Int J Med Robot. 2015 Jun;11(2):256-67. PMID: 25069602 | PDF Authors: Liu WP, Reaugamornrat S, Sorger JM, Siewerdsen JH, Taylor RH, Richmon JD. Institution: Department of Computer Science, Johns Hopkins University, Baltimore, MD, USA. Background/Purpose: Adequate resection of oropharyngeal neoplasms with transoral robotic surgery (TORS) poses multiple challenges, including difficulty with access, inability to palpate the tumor, loss of landmarks, and intraoperative patient positioning with mouth retractor and tongue extended creating significant tissue distortion from preoperative imaging. Methods: This study evaluates a workflow integrating intraoperative cone beam computed tomography (CBCT) for image-guided TORS through robotic experimentation locating 8-10 embedded targets in five porcine tongues and a cadaveric head phantom, conducted under various modes of visualization and integration of preoperative/intraoperative imaging. Results: A statistically significant improvement in mean target localization error was achieved for both the porcine tongue ((9.8 ± 4.0) mm vs. (5.3 ± 1.3) mm, P-value = 0.0151) and cadaver ((11.2 ± 5.0) mm vs. (5.8 ± 2.5) mm P-value = 0.0189) in experiments comparing scenarios simulating current standard-of-care practice and the proposed image guidance system. Conclusion: Intraoperative image guidance with augmentation of critical surgical structures has the potential to improve target localization for TORS. Funding:
|
Simulated current practice in which the surgeon has access to only (a) the raw endoscopy (b) preoperative CT to help guide the surgical navigation. Our proposed image guidance workflow showing (c) a 3D image overlay of the targets on the tongue. derivedfrom (d) the preoperative plan registered to intraoperative CBCT. We applied relatively simple semi-automatic segmentation techniques initialized with intensity-based thresholds and edge-based snake methods using ITK- snap and 3D Slicer. |
Brain Atrophy and White-matter Hyperintensity is not Significantly Associated with Incidence and Severity of Postoperative Delirium in Older Persons without Dementia
|
Publication: Neurobiol Aging. 2015 Jun;36(6):2122-9. PMID: 25824618 | PDF Authors: Cavallari M, Hshieh TT, Guttmann CR, Ngo LH, Meier DS, Schmitt EM, Marcantonio ER, Jones RN, Kosar CM, Fong TG, Press D, Inouye SK, Alsop DC, SAGES Study Group. Institution: Center for Neurological Imaging, Brigham and Women's Hospital, Harvard Medical School, Boston, MA, USA. Background/Purpose: Postoperative delirium is a common complication in older people and is associated with increased mortality, morbidity, institutionalization, and caregiver burden. Although delirium is an acute confusional state characterized by global impairments in attention and cognition, it has been implicated in permanent cognitive impairment and dementia. The pathogenesis of delirium and the mechanisms leading to these disabling consequences remain unclear. The present study is the first to address the potential predisposing role of brain morphologic changes toward postoperative delirium in a large prospective cohort of patients undergoing elective surgery using state-of-the-art magnetic resonance imaging (MRI) techniques conducted before admission. We investigated the association of MRI-derived quantitative measures of white-matter damage, global brain, and hippocampal volume with the incidence and severity of delirium. Presurgical white-matter hyperintensities (WMHs), whole brain, and hippocampal volume were measured in 146 consecutively enrolled subjects, ≥70 years old, without dementia who were undergoing elective surgery. These 3 presurgical MRI indices were tested as predictors of incidence and severity of subsequent delirium. Out of 146 subjects, 32 (22%) developed delirium. We found no statistically significant differences in WMH, whole brain, or hippocampal volume between subjects with and without delirium. Both unadjusted and adjusted (age, gender, vascular comorbidity, and general cognitive performance) regression analyses demonstrated no statistically significant association between any of the MRI measures with respect to delirium incidence or severity. In persons without dementia, preexisting cerebral WMHs, general and hippocampal atrophy may not predispose to postoperative delirium or worsen its severity. Funding:
|
Morphology Parameters for Mirror Posterior Communicating Artery Aneurysm Rupture Risk Assessment
|
Publication: Neurol Med Chir (Tokyo). 2015 Jun 15;55(6):498-504. PMID: 26041624 | PDF Authors: Jiang H, Shen J, Weng YX, Pan JW, Yu JB, Wan ZA, Zhan R. Institution: Department of Neurosurgery, First Affiliated Hospital, School of Medicine, Zhejiang University, China. Background/Purpose: Recent studies have shown that posterior communicating artery (PComA) aneurysms are more likely to rupture. However, surgical intervention for PComA aneurysms may be associated with increased treatment-related morbidity rate. Therefore, it is meaningful to investigate the factors related to PComA aneurysm rupture. The purpose of this study was to identify morphological parameters that significantly correlate with PComA aneurysm rupture. We divided 14 pairs of mirror posterior communicating artery aneurysms (PComA-MANs) into ruptured and unruptured groups. Computed tomography angiography (CTA) imaging was evaluated with three-dimensional 3D Slicer to generate models of the aneurysms and surrounding vasculature. Nine morphological parameters [size, height, width, neck width, aspect ratio (AR), bottleneck factor (BNF), height/width ratio (H/W), size ratio (SR), and bleb formation] were examined in the two groups for significance with respect to rupture. By contrast, statistically significant differences were found in ruptured and unruptured group for size, AR, BNF, SR, and bleb formation (P < 0.05). Parameters that had no significant differences between the two groups were height (P = 0.103), width (P = 0.078), neck width (P = 0.808), and H/W (P = 0.417). We conclude that MANs may be a useful model for the morphological analysis of intracranial aneurysm rupture. Larger size, higher AR, BNF, SR, and bleb formation may be related to rupture of PComA aneurysms. Larger sample studies minimizing the interference from patient-related factors and aneurysm type were expected for acquiring more accurate assessment of the relationship between these parameters and PComA aneurysm rupture. |
CTA and 3D models of a pair of PComA-MAN. A-C. Axial, Sagittal and Coronal Ct images showing the ruptured PComA-MAN. D. Corresponding reconstructed 3D Slicer images. |
|
Publication: Zhonghua Wai Ke Za Zhi. 2015 May;53(5):340-4. PMID: 26082247 Authors: Bai S, Chen X, Geng J, Wu D, Yu X, Xu B. Institution: Department of Neurosurgery, People's Liberation Army General Hospital, Beijing, China. Background/Purpose: To investigate the clinical value of high-field-strength intraoperative magnetic resonance imaging (iMRI) combined with optic radiation neuro-navigation for the resection of temporal lobe low-grade gliomas. Methods: From April 2009 to September 2013, 65 patients with temporal lobe low-grade gliomas (WHO grade II) involving optic radiation were operated with iMRI and functional neuro-navigation. Diffusion tensor imaging (DTI) based fiber tracking was used to delineate optic radiation. The reconstructed optic radiations were integrated into a navigation system, in order to achieve intraoperative microscopic-based functional neuro-navigation. iMRI was used to update the images for both optic radiations and residual tumors. Volumetric analyses were performed using 3D Slicer for pre- and intra-operative tumor volumes in all cases. All patients were evaluated for visual field deficits preoperatively and postoperatively. The Student t test was used to evaluate the average rate of extent of resection between groups. Spearman rank correlation analysis was used to assess correlations between predictors and epilepsy prognosis. Results: Preoperative tumor volumes were (78±40) cm3. In 29 cases, iMRI scan detected residual tumor that could be further resected, and extent of resection were increased from 76.2% to 92.7% (t = 7.314, P <0.01). In 19 cases (29.2%), gross total resection was accomplished, and iMRI contributed directly to 8 of these cases. Postsurgical follow-up period varied from 13 months to 59 months, mean (33±13) months. Tumor progression were observed in 3 patients, newly developed or deteriorated visual field defects occurred in 4 patients (6.2%). For patients with pre-operative seizures, Engel Class I were achieved for 89.7% of them. Spearman rank correlation analysis revealed that seizure outcome (Engel Class) was related to increased excision of ratio (r = -0.452, P = 0.004, 95% CI: -0.636-0.261) and larger tumors (r = 0.391, P = 0.014, 95% CI: 0.178-0.484). Conclusions: With iMRI and functional neuro-navigation, the optic radiation can be accurately located, while extent of resection can be evaluated intra-operatively. This technique is safe and helpful for preservation of visual field for the resection of temporal lobe low-grade gliomas involving optic radiation. |
Reduced Bone Density and Vertebral Fractures in Smokers. Men and COPD Patients at Increased Risk
|
Publication: Ann Am Thorac Soc. 2015 May;12(5):648-56. PMID: 25719895 | PDF Authors: Jaramillo JD, Wilson C, Stinson DS, Lynch DA, Bowler RP, Lutz S, Bon JM, Arnold B, McDonald ML, Washko GR, Wan ES, DeMeo DL, Foreman MG, Soler X, Lindsay SE, Lane NE, Genant HK, Silverman EK, Hokanson JE, Make BJ, Crapo JD, Regan EA; COPDGene Investigators. Institution: National Jewish Health, Denver, CO, USA. Background/Purpose: Former smoking history and chronic obstructive pulmonary disease (COPD) are potential risk factors for osteoporosis and fractures. Under existing guidelines for osteoporosis screening, women are included but men are not, and only current smoking is considered. Objectives: To demonstrate the impact of COPD and smoking history on the risk of osteoporosis and vertebral fracture in men and women. METHODS: Characteristics of participants with low volumetric bone mineral density (vBMD) were identified and related to COPD and other risk factors. We tested associations of sex and COPD with both vBMD and fractures adjusting for age, race, body mass index (BMI), smoking, and glucocorticoid use. Measurements and Main Results: vBMD by calibrated quantitative computed tomography (QCT), visually scored vertebral fractures, and severity of lung disease were determined from chest CT scans of 3,321 current and ex-smokers in the COPDGene study. Low vBMD as a surrogate for osteoporosis was calculated from young adult normal values. Male smokers had a small but significantly greater risk of low vBMD (2.5 SD below young adult mean by calibrated QCT) and more fractures than female smokers. Low vBMD was present in 58% of all subjects, was more frequent in those with worse COPD, and rose to 84% among subjects with very severe COPD. Vertebral fractures were present in 37% of all subjects and were associated with lower vBMD at each Global Initiative for Chronic Obstructive Lung Disease stage of severity. Vertebral fractures were most common in the midthoracic region. COPD and especially emphysema were associated with both low vBMD and vertebral fractures after adjustment for steroid use, age, pack-years of smoking, current smoking, and exacerbations. Airway disease was associated with higher bone density after adjustment for other variables. Calibrated QCT identified more subjects with abnormal values than the standard dual-energy X-ray absorptiometry in a subset of subjects and correlated well with prevalent fractures. Conclusions: Male smokers, with or without COPD, have a significant risk of low vBMD and vertebral fractures. COPD was associated with low vBMD after adjusting for race, sex, BMI, smoking, steroid use, exacerbations, and age. Screening for low vBMD by using QCT in men and women who are smokers will increase opportunities to identify and treat osteoporosis in this at-risk population. Funding:
|
Bone density and fractures in the COPDGene cohort. (A) The proportion of subjects with normal bone density, intermediate bone density (T-scoreQCT less than −1.0 and greater than −2.5), and low bone density (T-scoreQCT less than −2.5) as measured by calibrated quantitative computed tomography (QCT) is shown in relation to the severity of chronic obstructive pulmonary disease (COPD) in the cohort of smokers. Subjects with COPD are shown by Global Initiative for Chronic Obstructive Lung Disease (GOLD) stage of severity and have higher proportions of subjects with low bone density, particularly in the more severe GOLD Stages 3 and 4 groups. GOLD unclassified subjects appeared to be somewhat resistant to the impact of smoking on bone density, but this group had a higher proportion of African American subjects. (B) At each GOLD stage, subjects with fractures had lower mean volumetric bone density than those without fractures. This was significant in all groups, including the smokers without COPD, except never-smokers, whose number was small (n = 68). (C) As the number of vertebral fractures identified increased, the mean volumetric bone mineral density (vBMD) was found to decrease across the cohort. Although fractures occur as a result of both reduced bone strength and the application of mechanical force, this graph demonstrates a relationship between decreasing BMD and number of vertebral fractures sustained by an individual. A history of a previous fracture is a strong predictor of future fractures and supports the value of screening for bone density so that treatment can be initiated and future fractures prevented. (D) Fractures were more frequent in the midthoracic to lower thoracic region and much less common in the upper thoracic region, possibly due to differences in mechanical loading on the vertebral bodies. Of the 3,317 CT scans analyzed for fractures, the figure shows the number of fractures identified at each vertebral level. There were 2,435 fractures identified in total. T8 had the greatest number of fractures (n = 407), possibly representing the increased mechanical load on the midthoracic vertebrae. Eighty-five percent of the fractures occurred in T6-T12. Quantitative analysis of CT scans was performed using 3D Slicer software |
Fully Automated Whole-Head Segmentation with Improved Smoothness and Continuity, with Theory Reviewed
|
Publication: PLoS One. 2015 May 18;10(5):e0125477. PMID: 25992793 | PDF Authors: Huang Y, Parra LC. Institution: Department of Biomedical Engineering, City College of the City University of New York, New York, NY, USA. Background/Purpose: Individualized current-flow models are needed for precise targeting of brain structures using transcranial electrical or magnetic stimulation (TES/TMS). The same is true for current-source reconstruction in electroencephalography and magnetoencephalography (EEG/MEG). The first step in generating such models is to obtain an accurate segmentation of individual head anatomy, including not only brain but also cerebrospinal fluid (CSF), skull and soft tissues, with a field of view (FOV) that covers the whole head. Currently available automated segmentation tools only provide results for brain tissues, have a limited FOV, and do not guarantee continuity and smoothness of tissues, which is crucially important for accurate current-flow estimates. Here we present a tool that addresses these needs. It is based on a rigorous Bayesian inference framework that combines image intensity model, anatomical prior (atlas) and morphological constraints using Markov random fields (MRF). The method is evaluated on 20 simulated and 8 real head volumes acquired with magnetic resonance imaging (MRI) at 1 mm3 resolution. We find improved surface smoothness and continuity as compared to the segmentation algorithms currently implemented in Statistical Parametric Mapping (SPM). With this tool, accurate and morphologically correct modeling of the whole-head anatomy for individual subjects may now be feasible on a routine basis. Code and data are fully integrated into SPM software tool and are made publicly available. In addition, a review on the MRI segmentation using atlas and the MRF over the last 20 years is also provided, with the general mathematical framework clearly derived. Funding:
|
The truth data of Head 3 in Dataset II (first row) and Head 1 in Dataset III (second row). As a comparison, the third row shows the results from the proposed algorithm using global TCM on Head 1 in Dataset III. The columns correspond to axial slices of GM, 3D renderings of the CSF and skull, respectively. |
Fibrin-based 3D Matrices Induce Angiogenic Behavior of Adipose-derived Stem Cells
|
Publication: Acta Biomater. 2015 Apr;17:78-88. PMID: 25600400 | PDF Authors: Chung E, Rytlewski JA, Merchant AG, Dhada KS, Lewis EW, Suggs LJ. Institution: Department of Biomedical Engineering, University of Texas at Austin, TX, USA. Background/Purpose: Engineered three-dimensional biomaterials are known to affect the regenerative capacity of stem cells. The extent to which these materials can modify cellular activities is still poorly understood, particularly for adipose-derived stem cells (ASCs). This study evaluates PEGylated fibrin (P-fibrin) gels as an ASC-carrying scaffold for encouraging local angiogenesis by comparing with two commonly used hydrogels (i.e., collagen and fibrin) in the tissue-engineering field. Human ASCs in P-fibrin were compared to cultures in collagen and fibrin under basic growth media without any additional soluble factors. ASCs proliferated similarly in all gel scaffolds but showed significantly elongated morphologies in the P-fibrin gels relative to other gels. P-fibrin elicited higher von Willebrand factor expression in ASCs than either collagen or fibrin while cells in collagen expressed more smooth muscle alpha actin than in other gels. VEGF was secreted more at 7days in fibrin and P-fibrin than in collagen and several other angiogenic and immunomodulatory cytokines were similarly enhanced. Fibrin-based matrices appear to activate angiogenic signaling in ASCs while P-fibrin matrices are uniquely able to also drive a vessel-like ASC phenotype. Collectively, these results suggest that P-fibrin promotes the angiogenic potential of ASC-based therapeutic applications.Z-stacks were pre-processed in ImageJ and exported as Visualization Toolkit files (.vtks) for import into 3D Slicer. Funding:
|
MIDA: A Multimodal Imaging-Based Detailed Anatomical Model of the Human Head and Neck
|
Publication: PLoS One. 2015 Apr 22;10(4):e0124126. PMID: 25901747 | PDF Authors: Iacono MI, Neufeld E, Akinnagbe E, Bower K, Wolf J, Vogiatzis Oikonomidis I, Sharma D, Lloyd B, Wilm BJ, Wyss M, Pruessmann KP, Jakab A, Makris N, Cohen ED, Kuster N, Kainz W, Angelone LM. Institution: Division of Biomedical Physics, Office of Science and Engineering Laboratories, Center for Devices and Radiological Health, US Food and Drug Administration, Silver Spring, MD, USA. Background/Purpose: Computational modeling and simulations are increasingly being used to complement experimental testing for analysis of safety and efficacy of medical devices. Multiple voxel- and surface-based whole- and partial-body models have been proposed in the literature, typically with spatial resolution in the range of 1-2 mm and with 10-50 different tissue types resolved. We have developed a multimodal imaging-based detailed anatomical model of the human head and neck, named "MIDA". The model was obtained by integrating three different magnetic resonance imaging (MRI) modalities, the parameters of which were tailored to enhance the signals of specific tissues: i) structural T1- and T2-weighted MRIs; a specific heavily T2-weighted MRI slab with high nerve contrast optimized to enhance the structures of the ear and eye; ii) magnetic resonance angiography (MRA) data to image the vasculature, and iii) diffusion tensor imaging (DTI) to obtain information on anisotropy and fiber orientation. The unique multimodal high-resolution approach allowed resolving 153 structures, including several distinct muscles, bones and skull layers, arteries and veins, nerves, as well as salivary glands. The model offers also a detailed characterization of eyes, ears, and deep brain structures. A special automatic atlas-based segmentation procedure was adopted to include a detailed map of the nuclei of the thalamus and midbrain into the head model. The suitability of the model to simulations involving different numerical methods, discretization approaches, as well as DTI-based tensorial electrical conductivity, was examined in a case-study, in which the electric field was generated by transcranial alternating current stimulation. The voxel- and the surface-based versions of the models are freely available to the scientific community. Funding:
|
Neuropsychological Outcome and Diffusion Tensor Imaging in Complicated versus Uncomplicated Mild Traumatic Brain Injury
|
Publication: PLoS One. 2015 Apr 27;10(4):e0122746. PMID: 25915776 | PDF Authors: Panenka WJ, Lange RT, Bouix S, Shewchuk JR, Heran MK, Brubacher JR, Eckbo R, Shenton ME, Iverson GL. Institution: Department of Psychiatry, University of British Columbia, Vancouver, Canada. Background/Purpose: This study examined whether intracranial neuroimaging abnormalities in those with mild traumatic brain injury (MTBI) (i.e., "complicated" MTBIs) are associated with worse subacute outcomes as measured by cognitive testing, symptom ratings, and/or diffusion tensor imaging (DTI). We hypothesized that (i) as a group, participants with complicated MTBIs would report greater symptoms and have worse neurocognitive outcomes than those with uncomplicated MTBI, and (ii) as a group, participants with complicated MTBIs would show more Diffusion Tensor Imaging (DTI) abnormalities. Participants were 62 adults with MTBIs (31 complicated and 31 uncomplicated) who completed neurocognitive testing, symptom ratings, and DTI on a 3T MRI scanner approximately 6-8 weeks post injury. There were no statistically significant differences between groups on symptom ratings or on a broad range of neuropsychological tests. When comparing the groups using tract-based spatial statistics for DTI, no significant difference was found for axial diffusivity or mean diffusivity. However, several brain regions demonstrated increased radial diffusivity (purported to measure myelin integrity), and decreased fractional anisotropy in the complicated group compared with the uncomplicated group. Finally, when we extended the DTI analysis, using a multivariate atlas based approach, to 32 orthopedic trauma controls (TC), the findings did not reveal significantly more areas of abnormal DTI signal in the complicated vs. uncomplicated groups, although both MTBI groups had a greater number of areas with increased radial diffusivity compared with the trauma controls. This study illustrates that macrostructural neuroimaging changes following MTBI are associated with measurable changes in DTI signal. Of note, however, the division of MTBI into complicated and uncomplicated subtypes did not predict worse clinical outcome at 6-8 weeks post injury. Funding:
|
TBSS demonstrates that Fractional Anisotropy is decreased in complicated vs. uncomplicated MTBI. Voxels highlighted in yellow/orange indicate areas of decreased fractional anisotropy (p<0.05) in the complicated MTBI compared to the uncomplicated MTBI group. Neuroanatomical areas where significant differences were found include the body and genu of the Corpus Callosum and left frontal Corona Radiata. |
Craniofacial Reconstruction using Rational Cubic Ball Curves
|
Publication: PLoS One. 2015 Apr 16;10(4):e0122854. PMID: 25880632 | PDF Authors: Majeed A, Mt Piah AR, Gobithaasan RU, Yahya ZR. Institution: Division of Science and Technology, University of Education, Town Ship Lahore, Pakistan. Background/Purpose: This paper proposes the reconstruction of craniofacial fracture using rational cubic Ball curve. The idea of choosing Ball curve is based on its robustness of computing efficiency over Bezier curve. The main steps are conversion of Digital Imaging and Communications in Medicine (Dicom) images to binary images, boundary extraction and corner point detection, Ball curve fitting with genetic algorithm and final solution conversion to Dicom format. The last section illustrates a real case of craniofacial reconstruction using the proposed method which clearly indicates the applicability of this method. A Graphical User Interface (GUI) has also been developed for practical application. Funding:
|
3D Slicer image of a patient with head injury. |
Age Related Differences in Diffusion Tensor Indices and Fiber Architecture in the Medial and Lateral Gastrocnemius
|
Publication: J Magn Reson Imaging. 2015 Apr;41(4):941-53. PMID: 24771672 | PDF Authors: Sinha U, Csapo R, Malis V, Xue Y, Sinha S. Institution: Department of Physics, San Diego State University, San Diego, CA, USA. Background/Purpose: To investigate age related changes in diffusion tensor indices and fiber architecture of the medial and lateral gastrocnemius (MG and LG) muscles using diffusion tensor imaging (DTI). MATERIALS AND Methods: The lower leg of five young and five senior subjects was scanned at 3 Tesla and DTI indices extracted using three methods: region of interest, histogram, and tract based. Tracked fibers were automatically edited to ensure physiologically relevant tracks. Pennation angles were measured with respect to the deep and superficial aponeuroses of both muscles. Results: The three methods provided internally consistent measures of the DTI indices (correlation coefficient in the range of 0.90-0.99). The primary, secondary, and tertiary eigenvalues in the MG and LG increased significantly in the senior cohort (P < 0.05), while the small increase in fractional anisotropy with age was not significant (MG/LG: P = 0.39/0.85; 95% confidence interval: [-0.059/-0.056, 0.116/0.064]). Fiber lengths of MG fibers originating distally were significantly decreased in seniors (P < 0.05) while pennation angles decreased with age in the MG and LG but this was not significant. Conclusion: Fiber atrophy and increased fibrosis have opposing effects on the diffusion indices resulting in a complicated dependence with aging. Fiber architectural changes could play a role in determining aging muscle function. Funding:
|
Comparison of eigenvector color maps from the original uncorrected DTI data to the corrected DTI data. The same anatomical slice is shown in all the images: fat saturated GRE image (a); eigenvector color map calculated from the uncorrected data (b); eigenvector color map calculated from the distortion corrected and smoothed data with the lower leg mask from (a) excluding subcutaneous fat (c); and medial gastrocnemius mask from (a) applied to the corrected, smoothed eigenvector (d). Distortion and motion algorithm from the 3D Slicer has been used in brain DTI analysis. |
Volumetric Alterations in the Nucleus Accumbens and Caudate Nucleus in Bulimia Nervosa: A Structural Magnetic Resonance Imaging Study
|
Publication: Int J Eat Disord. 2015 Mar;48(2):206-14. PMID: 24634102 | PDF Authors: Coutinho J, Ramos AF, Maia L, Castro L, Conceição E, Geliebter A, Machado PP, Gonçalves O, Sampaio A. Institution: Neuropsychophysiology Lab, CIPsi, School of Psychology, University of Minho, Braga, Portugal. Background/Purpose: Bulimia nervosa (BN) is an eating disorder characterized by recurrent episodes of binge eating and inappropriate compensatory behaviors (such as purging, fasting, or excessive exercise) to prevent weight gain. BN has been associated with deficits in inhibitory control processes. The basal ganglia specifically, the nucleus accumbens (NAc) and the caudate nucleus (CN) are part of the frontostriatal circuits involved in inhibitory control. The main goal of this study was to investigate the presence of morphological alterations in the NAc and the CN in a sample of patients diagnosed with BN. Method: Forty-one female participants, 21 diagnosed with BN and 20 healthy matched controls (HC), underwent a structural magnetic resonance imaging (MRI) acquisition and clinical assessment. The NAc and the CN were manually segmented using the software 3D Slicer. The results reveal a significant volumetric decrease in the CN and a preserved NAc volume in BN compared to the control group. Discussion: These findings suggest a contributory role of the caudate nucleus part of the dorsal striatum in the psychopathology of BN. |
Validation of Osteoarthritis Synthetic Defect Database via Non-rigid Registration
|
Publication: Proc SPIE Int Soc Opt Eng. 2015 Mar 17;9417. PMID: 26236073 | PDF Authors: Paniagua B, Pera J, Budin F, Gomes L, Styner M, Lucia C, Nguyen T. Institution: Computer Science and Orthodontics, Departments of Psychiatry, University of North Carolina at Chapel Hill, NC, USA. Background/Purpose: Temporomandibular joint (TMJ) disorders are a group of conditions that cause pain and dysfunction in the jaw joint and the muscles controlling jaw movement. However, diagnosis and treatment of these conditions remain controversial. To date, there is no single sign, symptom, or test that can clearly diagnose early stages of osteoarthritis (OA). Instead, the diagnosis is based on a consideration of several factors, including radiological evaluation. The current radiological diagnosis scores of TMJ pathology are subject to misdiagnosis. We believe these scores are limited by the acquisition procedures, such as oblique cuts of the CT and head positioning errors, and can lead to incorrect diagnoses of flattening of the head of the condyle, formation of osteophytes, or condylar pitting. This study consists of creating and validating a methodological framework to simulate defects in CBCT scans of known location and size, in order to create synthetic TMJ OA database. User-generated defects were created using a non-rigid deformation protocol in CBCT. All segmentation evaluation, surface distances and linear distances from the user-generated to the simulated defects showed our methodological framework to be very precise and within a voxel (0.5 mm) of magnitude. A TMJ OA synthetic database will be created next, and evaluated by expert radiologists, and this will serve to evaluate how sensitive the current radiological diagnosis tools are. Using linear distances in 3D Slicer, we manually measured the defect depth on the deformed segmentation and the deformed grey-scale CBCT. Funding:
|
Validation of CBCT for the Computation of Textural Biomarkers
|
Publication: Proc SPIE Int Soc Opt Eng. 2015 Mar 17;9417. PMID: 26085710 | PDF Authors: Paniagua B, Ruellas AC, Benavides E, Marron S, Woldford L, Cevidanes L. Institution: Departments of Psychiatry, Computer Science and Orthodontics, University of North Carolina at Chapel Hill, NC, USA. Background/Purpose: Osteoarthritis (OA) is associated with significant pain and 42.6% of patients with TMJ disorders present with evidence of TMJ OA. However, OA diagnosis and treatment remain controversial, since there are no clear symptoms of the disease. The subchondral bone in the TMJ is believed to play a major role in the progression of OA. We hypothesize that the textural imaging biomarkers computed in high resolution Conebeam CT (hr-CBCT) and μCT scans are comparable. The purpose of this study is to test the feasibility of computing textural imaging biomarkers in-vivo using hr-CBCT, compared to those computed in μCT scans as our Gold Standard. Specimens of condylar bones obtained from condylectomies were scanned using μCT and hr-CBCT. Nine different textural imaging biomarkers (four co-occurrence features and five run-length features) from each pair of μCT and hr-CBCT were computed and compared. Pearson correlation coefficients were computed to compare textural biomarkers values of μCT and hr-CBCT. Four of the nine computed textural biomarkers showed a strong positive correlation between biomarkers computed in μCT and hr-CBCT. Higher correlations in Energy and Contrast, and in GLN (grey-level non-uniformity) and RLN (run length non-uniformity) indicate quantitative texture features can be computed reliably in hr-CBCT, when compared with μCT. The textural imaging biomarkers computed in-vivo hr-CBCT have captured the structure, patterns, contrast between neighboring regions and uniformity of healthy and/or pathologic subchondral bone. The ability to quantify bone texture non-invasively now makes it possible to evaluate the progression of subchondral bone alterations, in TMJ OA. Funding:
|
3D segmentations and virtual models for hr-CBCT (a and b, respectively) and μCT (c and d, respectively) e) 3D virtual models for hr-CBCT (green semitransparent) and μCT (red solid) compared. Three-dimensional virtual models of the condyles and trabeculae for each sample were built using 3D Slicer software. |
Comparison between an Alternative and the Classic Definition of Chronic Bronchitis in COPDGene
|
Publication: Ann Am Thorac Soc. 2015 Mar;12(3):332-9. PMID: 25575351 | PDF Authors: Kim V, Crapo J, Zhao H, Jones PW, Silverman EK, Comellas AP, Make BJ, Criner GJ; the COPDGene Investigators. Institution: Temple University, Pulmonary and Critical Care Medicine, Philadelphia, PA, USA. Background/Purpose: Previous studies on chronic bronchitis (CB) have used varying definitions. We sought to compare an alternative CB definition using the St. George's Respiratory Questionnaire, a commonly used assessment tool, with the classic definition and to investigate if it had independent or additive value. Methods: We analyzed data from 4513 GOLD 1-4 subjects in the COPDGene cohort. We compared the classic definition of CB with the SGRQ definition, defined by their answers to the questions about both cough and phlegm. We compared the Classic CB+ vs. CB- groups, and the SGRQ CB+ and CB- groups. We also analyzed the cohort split into four groups: Classic CB+/SGRQ CB+, Classic CB+/SGRQ CB-, Classic CB-/SGRQ CB+, Classic CB-/SGRQ CB-. Results: 26.1% were Classic CB+, whereas 39.9% were SGRQ CB+. When the SGRQ definition was compared with the Classic CB definition, using this as the gold standard, the SGRQ CB definition had a sensitivity and specificity of 0.87 and 0.77, respectively. The SGRQ CB+ and Classic CB+ groups were strikingly similar with more respiratory symptoms, exacerbations, worse lung function, and greater airway wall thickness. In addition, the Classic CB+/SGRQ CB+, Classic CB+/SGRQ CB-, Classic CB-/SGRQ CB+ groups shared similar characteristics as well. Conclusions: The SGRQ CB definition identifies more subjects with chronic cough and sputum that share a similar phenotype identified by the Classic CB definition. The addition of the SGRQ CB definition to the classic one can be used to identify more COPD patients at risk for poor outcomes. Funding:
|
Quantitative Trait Loci Affecting the 3D Skull Shape and Size in Mouse and Prioritization of Candidate Genes in-silico
|
Publication: Front Physiol. 2015 Mar 26;6:92. PMID: 25859222 | PDF Authors: Maga AM, Navarro N, Cunningham ML, Cox TC. Institution: Division of Craniofacial Medicine, Department of Pediatrics, University of Washington Seattle, WA, USA. Background/Purpose: We describe the first application of high-resolution 3D micro-computed tomography, together with 3D landmarks and geometric morphometrics, to map QTL responsible for variation in skull shape and size using a backcross between C57BL/6J and A/J inbred strains. Using 433 animals, 53 3D landmarks, and 882 SNPs from autosomes, we identified seven QTL responsible for the skull size (SCS.qtl) and 30 QTL responsible for the skull shape (SSH.qtl). Size, sex, and direction-of-cross were all significant factors and included in the analysis as covariates. All autosomes harbored at least one SSH.qtl, sometimes up to three. Effect sizes of SSH.qtl appeared to be small, rarely exceeding 1% of the overall shape variation. However, they account for significant amount of variation in some specific directions of the shape space. Many QTL have stronger effect on the neurocranium than expected from a random vector that will parcellate uniformly across the four cranial regions. On the contrary, most of QTL have an effect on the palate weaker than expected. Combined interval length of 30 SSH.qtl was about 315 MB and contained 2476 known protein coding genes. We used a bioinformatics approach to filter these candidate genes and identified 16 high-priority candidates that are likely to play a role in the craniofacial development and disorders. Thus, coupling the QTL mapping approach in model organisms with candidate gene enrichment approaches appears to be a feasible way to identify high-priority candidates genes related to the structure or tissue of interest. Funding:
|
Automatic Segmentation of Deep Intracerebral Electrodes in Computed Tomography Scans
|
Publication: BMC Bioinformatics. 2015 Mar 25;16(1):99. PMID: 25887573 | PDF Authors: Arnulfo G, Narizzano M, Cardinale F, Fato MM, Palva JM. Institution: Department of Informatics, Bioengineering, Robotics and System Engineering - DIBRIS, University of Genoa, Genoa, Italy. Background/Purpose: Invasive monitoring of brain activity by means of intracerebral electrodes is widely practiced to improve pre-surgical seizure onset zone localization in patients with medically refractory seizures. Stereo-Electroencephalography (SEEG) is mainly used to localize the epileptogenic zone and a precise knowledge of the location of the electrodes is expected to facilitate the recordings interpretation and the planning of resective surgery. However, the localization of intracerebral electrodes on post-implant acquisitions is usually time-consuming (i.e., manual segmentation), it requires advanced 3D visualization tools, and it needs the supervision of trained medical doctors in order to minimize the errors. In this paper we propose an automated segmentation algorithm specifically designed to segment SEEG contacts from a thresholded post-implant Cone-Beam CT volume (0.4 mm, 0.4 mm, 0.8 mm). The algorithm relies on the planned position of target and entry points for each electrode as a first estimation of electrode axis. We implemented the proposed algorithm into DEETO, an open source C++ prototype based on ITK library. Funding:
|
Results of the DEETO algorithm on complex scenarios. (a) The figure shows the accuracy of the reconstructed implant. The complexity of SEEG implants is well represented in the figure where it can be easily seen the high number of electrodes used, their direction, and their proximity to each others. Moreover, we superimposed pial surfaces (green - left and red - right) extracted from the MRI previously coregistered to CT space. Original electrode surface models extracted from patient CT (shaded gray) are overlayed by segmented contacts (red cylinder) with their real dimensions (i.e., each cylinder is 2 mm long, 0.8 mm diameter and inter-contact distance is 1.5 mm). (b) The proposed implementation is robust to target point displacements. Target displacements (left plot) up to 12 mm from planned site result in an average error of 0.005 mm (blue line). The number of False Positive (FP; central plot) and False Negative (FN; right plot) divided by the total number of real contacts increase with target point displacements but remained below 10% for distances up to 13 mm. Shaded area in all plots indicate the interval between the 95th and the 5th percentiles extracted from 28 subjects and 5 samples for each distance (see methods for details). |
Openigtlink Interface for State Control and Visualization of a Robot for Image-Guided Therapy Systems
|
Publication: Int J Comput Assist Radiol Surg. 2015 Mar;10(3):285-92. PMID: 24923473 | PDF Authors: Tauscher S, Tokuda J, Schreiber G, Neff T, Hata N, Ortmaier T. Institution: Institute of Mechatronic Systems, Leibniz Universität, Hannover, Germany. Background/Purpose: The integration of a robot into an image-guided therapy system is still a time consuming process, due to the lack of a well-accepted standard for inter-device communication. The aim of this project is to simplify this procedure by developing an open interface based on three interface classes: state control, visualization, and sensor. A state machine on the robot control is added to the concept because the robot has its own workflow during surgical procedures, which differs from the workflow of the surgeon. Methods: A KUKA Light Weight Robot is integrated into the medical technology environment of the Institute of Mechatronic Systems as a proof of concept. Therefore, 3D Slicer was used as visualization and state control software. For the network communication the OpenIGTLink protocol was implemented. In order to achieve high rate control of the robot the "KUKA Sunrise. Connectivity SmartServo" package was used. An exemplary state machine providing states typically used by image-guided therapy interventions, was implemented. Two interface classes, which allow for a direct use of OpenIGTLink for robot control on the one hand and visualization on the other hand were developed. Additionally, a 3D Slicer module was written to operate the state control. Utilizing the described software concept the state machine could be operated by the 3D Slicer module with 20 Hz cycle rate and no data loss was detected during a test phase of approximately [Formula: see text] (13,640 packages). Furthermore, the current robot pose could be sent with more than 60 Hz. No influence on the performance of the state machine by the communication thread could be measured. Conclusion: Simplified integration was achieved by using only one programming context for the implementation of the state machine, the interfaces, and the robot control. Eventually, the exemplary state machine can be easily expanded by adding new states. Funding: P01 CA067165/CA/NCI NIH HHS/United States P41 EB015898/EB/NIBIB NIH HHS/United States P41 RR019703/RR/NCRR NIH HHS/United States R01 CA111288/CA/NCI NIH HHS/United States R01 CA124377/CA/NCI NIH HHS/United States R01 CA138586/CA/NCI NIH HHS/United States R42 CA137886/CA/NCI NIH HHS/United States U54 EB005149/EB/NIBIB NIH HHS/United States |
|
Publication: J Laryngol Otol. 2015 Mar;129 Suppl 2:S62-8. PMID: 25706165 Authors: Kamizono K, Yoshida S, Cho B, Matsumoto N, Fukushima J, Jinnouchi M, Ouchida R, Sawatsubashi M, Hashizume M, Komune S. Institution: Department of Otorhinolaryngology, Graduate School of Medical Sciences, Kyushu University, Fukuoka, Japan. Background/Purpose: Bone contouring is currently the best treatment for fibro-osseous lesions after bone growth arrest. Navigation systems available for this surgery allow intra-operative visualization with improved cosmetic outcomes. However, conventional navigation systems using superficial skin registration cannot prevent subtle discrepancies. Method: To address this problem, we used a non-invasive cranial bone registration that uses patient-specific dental templates to maintain exact registration. We created the preset goal using the mirror image of the unaffected side for unilateral lesions, and using images obtained before the onset of symptoms for bilateral lesions. This system achieved precise pre-operative simulation. A sound aid in the navigation system provided information regarding proximity to critical structures and to the preset goal. Results: We used this system to contour fibro-osseous lesions in three patients. All patients achieved good facial contours and improvement in symptoms. Conclusions: This method offers a safe, rapid surgical aid in treating orbital fibro-osseous lesions. The data were imported to an open-source image- guided surgery software program 3D Slicer. |
Open Source Software in a Practical Approach for Post Processing of Radiologic Images
|
Publication: Radiol Med. 2015 Mar;120(3):309-23. PMID: 25024063 Authors: Valeri G, Mazza FA, Maggi S, Aramini D, La Riccia L, Mazzoni G, Giovagnoni A. Institution: Clinical Radiology, AOU Ospedali Riuniti, Ancona, Italy. Background/Purpose: The purpose of this paper is to evaluate the use of open source software (OSS) to process DICOM images. We selected 23 programs for Windows and 20 programs for Mac from 150 possible OSS programs including DICOM viewers and various tools (converters, DICOM header editors, etc.). The programs selected all meet the basic requirements such as free availability, stand-alone application, presence of graphical user interface, ease of installation and advanced features beyond simple display monitor. Capabilities of data import, data export, metadata, 2D viewer, 3D viewer, support platform and usability of each selected program were evaluated on a scale ranging from 1 to 10 points. Results: Twelve programs received a score higher than or equal to eight. Among them, five obtained a score of 9, 3D Slicer, MedINRIA, MITK 3M3, VolView, VR Render; while OsiriX received 10. Conclusions: OsiriX appears to be the only program able to perform all the operations taken into consideration, similar to a workstation equipped with proprietary software, allowing the analysis and interpretation of images in a simple and intuitive way. OsiriX is a DICOM PACS workstation for medical imaging and software for image processing for medical research, functional imaging, 3D imaging, confocal microscopy and molecular imaging. This application is also a good tool for teaching activities because it facilitates the attainment of learning objectives among students and other specialists. |
Functional Mapping of the Human Visual Cortex with Intravoxel Incoherent Motion MRI
|
Publication: PLoS One. 2015 Feb 3;10(2):e0117706 PMID: 25647423 | PDF Authors: Federau C, O'Brien K, Birbaumer A, Meuli R, Hagmann P, Maeder P. Institution: Department of Diagnostic and Interventional Radiology, Centre Hospitalier Universitaire Vaudois (CHUV), Lausanne, Switzerland. Background/Purpose: Functional imaging with intravoxel incoherent motion (IVIM) magnetic resonance imaging (MRI) is demonstrated. Images were acquired at 3 Tesla using a standard Stejskal-Tanner diffusion-weighted echo-planar imaging sequence with multiple b-values. Cerebro-spinal fluid signal, which is highly incoherent, was suppressed with an inversion recovery preparation pulse. IVIM microvascular perfusion parameters were calculated according to a two-compartment (vascular and non-vascular) diffusion model. The results obtained in 8 healthy human volunteers during visual stimulation are presented. The IVIM blood flow related parameter fD* increased 170% during stimulation in the visual cortex, and 70% in the underlying white matter. |
IVIM flow subtraction maps. Maps of the difference in blood flow related IVIM parameter fD*, in all volunteers (except the one already shown in Fig. 2), as obtained by subtracting the averaged flow maps obtained under baseline to the averaged maps obtained under visual stimulation. Scale of the colorbar: 10-3 mm2·s-1. The corresponding BOLD statistical t-map is given below each IVIM subtraction map. Those maps were registered to the IVIM space using 3D Slicer. |
Factors Affecting Capsular Volume Changes and Association with Outcomes after Bankart Repair and Capsular Shift
|
Publication: Am J Sports Med. 2015 Feb;43(2):428-38. PMID: 25492036 | PDF Authors: Park JY, Chung SW, Kumar G, Oh KS, Choi JH, Lee D, Park S. Institution: Department of Orthopaedic Surgery, Konkuk University School of Medicine, Seoul, Korea. Background/Purpose: Capsular laxity is a main contributing factor in recurrent shoulder instability and is suggested to be correlated with increased capsular volume. Arthroscopic capsular shift combined with Bankart repair can reduce the capsular volume and reinforce the redundant capsule; however, as the capsuloligamentous structure has viscoelastic properties, it is possible for the shifted and tensioned capsule of the glenohumeral joint to slowly stretch out again over time, resulting in an increase in capsular volume. Purpose: To analyze changes in capsular volume of the glenohumeral joint over time after arthroscopic Bankart repair and capsular shift, the factors associated with these changes, and their relevance to outcomes. Study Design: Case series; Level of evidence, 4. Methods: Included in this study were 105 patients (mean age, 25.8 ± 8.2 years) who underwent arthroscopic Bankart repair and capsular shift for anterior shoulder instability and computed tomography arthrography (CTA) at 3 months and 1 year postoperatively and whose various functional outcomes were evaluated preoperatively and at the last follow-up (>12 months). Among these patients, 27 also had preoperative CTA. These 27 patients were used to make comparisons between preoperative and 3-month postoperative CTA measurements, and all 105 patients were used for all other comparisons. Two raters measured the separate anterior and posterior capsular volume and cross-sectional area at the 5-o'clock position using 3-dimensional 3D Slicer software. These measurements were subsequently adjusted for each glenoid size. The changes in capsular volume and cross-sectional area at the 5-o'clock position over time, the factors related to higher change in anterior capsular volume, and their correlation with outcomes were evaluated. Results: Three months postoperatively, the total and anterior capsular volume and anterior cross-sectional area significantly decreased; however, these values increased again at 1 year postoperatively (all P < .01). The inter- and intraobserver reliabilities of the measurements were excellent (interclass correlation coefficient = 0.717-0.945). Female sex, being an elite athlete, and more dislocations before surgery were related to a higher increase in anterior capsular volume at 1 year (all P < .05). Eight patients had re-dislocation, and 18 exhibited positive apprehension test postoperatively, and these patients showed significantly higher increases in anterior and total capsular volume at 1 year than did those without re-dislocation or positive apprehension sign (all P < .01). However, with the exception of Rowe score, a higher increase in anterior capsular volume was not related to functional outcome measures. Conclusion: Surgeons should be aware of the re-increase in anterior capsular volume or re-stretching trait of the anterior capsule over time, even after successful arthroscopic Bankart repair and capsular shift. In this study, women, elite athletes, and those with frequent dislocations were at high risk of capsular re-stretching. An increase in capsular volume was related to re-dislocation and positive apprehension sign as well as with Rowe score. |
A Gradient in Cortical Pathology in Multiple Sclerosis by in vivo Quantitative 7 T Imaging
|
Publication: Brain. A Journal of Neurology. 2015 Feb; 138(2):1-14. PMID: 25681411 | PDF Authors: Mainero C, Louapre C, Govindarajan ST, Gianni C, Nielsen AS, Cohen-Adad J, Sloane J, Kinkel RP. Institution: A. Martinos Center for Biomedical Imaging, Massachusetts General Hospital, Boston, MA, USA. Background/Purpose: We used a surface-based analysis of T2* relaxation rates at 7 T magnetic resonance imaging, which allows sampling quantitative T2* throughout the cortical width, to maP < in vivo the spatial distribution of intracortical pathology in multiple sclerosis. Ultra- high resolution quantitative T2* maps were obtained in 10 subjects with clinically isolated syndrome/early multiple sclerosis (< 3 years disease duration), 18 subjects with relapsing-remitting multiple sclerosis ( > 4 years disease duration), 13 subjects with secondary progressive multiple sclerosis, and in 17 age-matched healthy controls. Quantitative T2* maps were registered to anatomical cortical surfaces for sampling T2* at 25%, 50% and 75% depth from the pial surface. Differences in laminar quantitative T2* between each patient grouP < and controls were assessed using general linear model ( P < 0.05 corrected for multiple comparisons). In all 41 multiple sclerosis cases, we tested for associations between laminar quantitative T2* , neurological disability, Multiple Sclerosis Severity Score, cortical thickness, and white matter lesions. In patients, we measured, T2* in intracortical lesions and in the intracortical portion of leukocortical lesions visually detected on 7 T scans. Cortical lesional T2* was compared with patients’ normal-appearing cortical grey matter T2* (paired t -test) and with mean cortical T2* in controls (linear regression using age as nuisance factor). Subjects with multiple sclerosis exhibited relative to controls, independent from cortical thickness, significantly increased T2* , consistent with cortical myelin and iron loss. In early disease, T2* changes were focal and mainly confined at 25% depth, and in cortical sulci. In later disease stages T2* changes involved deeper cortical laminae, multiple cortical areas and gyri. In patients, T2* in intracortical and leukocortical lesions was increased compared with normal-appearing cortical grey matter ( P < 10 -10 and P < 10 -7 ), and mean cortical T2* in controls ( P < 10 -5 and P < 10 -6 ). In secondary progressive multiple sclerosis, T2* in normal-appearing cortical grey matter was significantly increased relative to controls ( P < 0.001). Laminar T2* changes may, thus, result from cortical pathology within and outside focal cortical lesions. Neurological disability and Multiple Sclerosis Severity Score correlated each with the degree of laminar quantitative T2* changes, independently from white matter lesions, the greatest association being at 25% depth, while they did not correlate with cortical thickness and volume. These findings demonstrate a gradient in the expression of cortical pathology throughout stages of multiple sclerosis, which was associated with worse disability and provides in vivo evidence for the existence of a cortical pathological process driven from the pial surface. Funding:
|
Quantitative T2* differences between multiple sclerosis patients and controls. Overlay of the GLM significance maps ( P < 0.05 corrected for multiple comparisons) on the average pial surface showing in the three subgroups of patients, early multiple sclerosis (MS), RRMS and SPMS, clusters of increased T2* relaxation time relative to healthy controls at 25% ( top row ), 50% ( middle row ), and 75% depth ( bottom row ) from the pial surface, as well as overlap of significant clusters across patients’ subgroups. In early disease, quantitative T2* changes were focal and mainly confined to the juxtameningeal cortex, and cortical sulci (darker grey areas); in RRMS and SPMS quantitative T2* changes involved deeper cortical laminae, and multiple cortical areas. WM = white matter. White matter lesion volume (mm3) was assessed from white matter lesions segmented on magnitude images from 7T single-echo FLASH T2* scans using a semi-automated method implemented in 3D Slicer version 4.2.0. |
Role of Mri-Based Tumor Volume Measurements in Surgical Treatment of Breast Cancer
|
Publication: Medical Diploma Thesis, 2015 Feb. (in Hungarian). | PDF Authors: Meszaros A. Institution: Sebészeti Klinika, Szegedi Tudomány Egyetem Általános Orvostudományi Kar, Szeged, Hungary. Background/Purpose: Szakdolgozatomban az MRI alapján mért tumortérfogat lehetséges szerepét vizsgáltam az emlőrák sebészeti kezelése során alkalmazott indikációk megerősítésében illetve megkönnyítésében. Az első vizsgálat során az SZTE ÁOK Sebészeti Klinikán a 2013. január 1 és 2014. április 9 közötti időszakban 60, emlőrák miatt operált és primer szisztémás (neoadjuváns) kemoterápiában nem részesült beteg; a második vizsgálat során pedig a 2012.06.05 és 2014.09.23 közötti időszakban 16, emlőrák miatt operált és (TEX-protokoll szerinti) primer szisztémás kezelésben részesült beteg MRI-vizsgálatai alapján a 3D Slicer szoftver segítségével retrospektíve meghatároztuk a primer tumor, illetve -a neoadjuváns terápiát követően- a regrediált tumor térfogatát. A műtéti indikáció felállításához előzetes biopsziás mintavétel történt. A daganatok és őrszem és/vagy további axillaris nyirokcsomók sebészi eltávolítását követően a preparátumok végleges szövettani eredményeivel hasonlítottuk össze a mérési eredményeket. A vizsgálatok során az alábbi 4 cut-off pontot kaptuk: 1624,9 mm³-nél állapítottuk meg a határt, ami felett az elváltozás már tapintható (AUC:0,861). 3439,02 mm³ az a pont, ami felett valószínűsíthető a pozitív SNB előfordulása (AUC: 0,636). 4029,2 mm³ az a tumortérfogat, amely felett megnő a hónalji áttétképzés valószínűsége (AUC: 0,645) 4688,38 mm³ felett az onko-team mastectomia végzését javasolja (AUC: 0,642). A tumortérfogat-tapinthatóság tekintetében bizonyítható összefüggést találtunk, a többi hat vizsgált hipotézis közül az észlelhető tendencia ellenére egyik sem bizonyult megalapozottnak 5%-os szignifikanciaszinten. Ebből 4 esetben a várt eredménytől való elmaradást magyarázhatja a viszonylag kis minták alkalmazása (kevés beteg) és extrém szélsőértékek (így nagy szórás) megjelenése. Ezeket a lehetséges okokat a jövőben kiküszöbölve a kapott prediktív értékek javíthatóak lehetnek. Az MRI-vizsgálat során meghatározott tumortérfogat a sebészi kezelésben könnyebbséget jelent a tumor emlőállományon belüli elhelyezkedésének és kiterjedésének megítélésében, és így a műtéti típus megválasztásában is. Jelen előkísérletünk eredményének segítségével megtervezhetünk egy olyan következő progresszív vizsgálatot, melyben a betegszám növelésével és a beválasztási kritériumok finomításával pontosabb képet kaphatunk a tumortérfogat prognosztikai szerepéről. |
Axial (red), sagittal (yellow) and coronal (green) view of the tumor segmentation and the 3D model of the breast tumor (right upper quadrant)using 3D Slicer. |
B-Mode and Acoustic Radiation Force Impulse (ARFI) Imaging of Prostate Zonal Anatomy: Comparison with 3T T2-Weighted MR Imaging
|
Publication: Ultrason Imaging. 2015 Jan;37(1):22-41. PMID: 25060914 | PDF Authors: Palmeri ML, Miller ZA, Glass TJ, Garcia-Reyes K, Gupta RT, Rosenzweig SJ, Kauffman C, Polascik TJ, Buck A, Kulbacki E, Madden J, Lipman SL, Rouze NC, Nightingale KR. Institution: Duke University Pratt School of Engineering, NC, USA. Background/Purpose: Prostate cancer (PCa) is the most common non-cutaneous malignancy among men in the United States and the second leading cause of cancer-related death. Multi-parametric magnetic resonance imaging (mpMRI) has gained recent popularity to characterize PCa. Acoustic Radiation Force Impulse (ARFI) imaging has the potential to aid PCa diagnosis and management by using tissue stiffness to evaluate prostate zonal anatomy and lesions. MR and B-mode/ARFI in vivo imaging datasets were compared with one another and with gross pathology measurements made immediately after radical prostatectomy. Images were manually segmented in 3D Slicer to delineate the central gland (CG) and prostate capsule, and 3D models were rendered to evaluate zonal anatomy dimensions and volumes. Both imaging modalities showed good correlation between estimated organ volume and gross pathologic weights. Ultrasound and MR total prostate volumes were well correlated (R 2 = 0.77), but B-mode images yielded prostate volumes that were larger (16.82% ± 22.45%) than MR images, due to overestimation of the lateral dimension (18.4% ± 13.9%), with less significant differences in the other dimensions (7.4% ± 17.6%, anterior-to-posterior, and -10.8% ± 13.9%, apex-to-base). ARFI and MR CG volumes were also well correlated (R 2 = 0.85). CG volume differences were attributed to ARFI underestimation of the apex-to-base axis (-28.8% ± 9.4%) and ARFI overestimation of the lateral dimension (21.5% ± 14.3%). B-mode/ARFI imaging yielded prostate volumes and dimensions that were well correlated with MR T2-weighted image (T2WI) estimates, with biases in the lateral dimension due to poor contrast caused by extraprostatic fat. B-mode combined with ARFI imaging is a promising low-cost, portable, real-time modality that can complement mpMRI for PCa diagnosis, treatment planning, and management. |
An example of the 3D Slicer ROI tool surrounding the prostate capsule (magenta) and central gland (blue) of study subject. This ROI tool is used to find the tri-axial dimensions of the prostate, in both the ultrasound and MR image datasets. MR = magnetic resonance. |
Optical Polarization Tractography Revealed Significant Fiber Disarray in Skeletal Muscles of a Mouse Model for Duchenne Muscular Dystrophy
|
Publication: Biomed Opt Express. 2015 Jan 7;6(2):347-52. PMID: 25780728 | PDF Authors: Wang Y, Zhang K, Wasala NB, Duan D, Yao G. Institution: Department of Bioengineering, Department of Molecular Microbiology & Immunology, University of Missouri, Columbia, MO, USA. Background/Purpose: Optical polarization tractography (OPT) was recently developed to visualize tissue fiber architecture with cellular-level resolution and accuracy. In this study, we explored the feasibility of using OPT to study muscle disease in the mdx4cv mouse model of Duchenne muscular dystrophy. The freshly dissected tibialis anterior muscles of mdx4cv and normal mice were imaged. A "fiber disarray index" (FDI) was developed to quantify the myofiber disorganization. In necrotic muscle regions of the mdx4cv mice, the FDI was significantly elevated and can be used to segment the 3D necrotic regions for assessing the overall muscle damage. These results demonstrated the OPT's capability for imaging microscopic fiber alternations in muscle research.
|
The corresponding images of local (a) retardance and (b) optical axis at the same imaging locations as in Fig. 1. The size bars in (a) indicate 1 mm. (c) OPT fiber tractography obtained in the same en face plane as in Fig. 1. (d) The image of fiber disarray index. (e) Image segmentation using the disarray index (threshold = 16°). Yellow arrows indicate small necrotic regions corresponding to those marked in Fig. 1(d). The tractographic image was constructed based on the local optical axis using the streamline functionality in MATLAB and visualized using the 3D Slicer software. |
Hippocampal Volume is Reduced in Schizophrenia and Schizoaffective Disorder but not in Psychotic Bipolar I Disorder Demonstrated by Both Manual Tracing and Automated Parcellation (Freesurfer)
|
Publication: Schizophr Bull. 2015 Jan;41(1):233-49. PMID: 24557771 | PDF Authors: Arnold SJ, Ivleva EI, Gopal TA, Reddy AP, Jeon-Slaughter H, Sacco CB, Francis AN, Tandon N, Bidesi AS, Witte B, Poudyal G, Pearlson GD, Sweeney JA, Clementz BA, Keshavan MS, Tamminga CA. Institution: Department of Psychiatry, UT Southwestern Medical Center, Dallas, TX, USA. Background/Purpose: This study examined hippocampal volume as a putative biomarker for psychotic illness in the Bipolar-Schizophrenia Network on Intermediate Phenotypes (B-SNIP) psychosis sample, contrasting manual tracing and semiautomated (FreeSurfer) region-of-interest outcomes. The study sample (n = 596) included probands with schizophrenia (SZ, n = 71), schizoaffective disorder (SAD, n = 70), and psychotic bipolar I disorder (BDP, n = 86); their first-degree relatives (SZ-Rel, n = 74; SAD-Rel, n = 62; BDP-Rel, n = 88); and healthy controls (HC, n = 145). Hippocampal volumes were derived from 3Tesla T1-weighted MPRAGE images using manual tracing/3D Slicer 3.6.3 and semiautomated parcellation/FreeSurfer5.1,64bit. Volumetric outcomes from both methodologies were contrasted in HC and probands and relatives across the 3 diagnoses, using mixed-effect regression models (SAS9.3 Proc MIXED); Pearson correlations between manual tracing and FreeSurfer outcomes were computed. SZ (P = .0007-.02) and SAD (P = .003-.14) had lower hippocampal volumes compared with HC, whereas BDP showed normal volumes bilaterally (P = .18-.55). All relative groups had hippocampal volumes not different from controls (P = .12-.97) and higher than those observed in probands (P = .003-.09), except for FreeSurfer measures in bipolar probands vs relatives (P = .64-.99). Outcomes from manual tracing and FreeSurfer showed direct, moderate to strong, correlations (r = .51-.73, P < .05). These findings from a large psychosis sample support decreased hippocampal volume as a putative biomarker for schizophrenia and schizoaffective disorder, but not for psychotic bipolar I disorder, and may reflect a cumulative effect of divergent primary disease processes and/or lifetime medication use. Manual tracing and semiautomated parcellation regional volumetric approaches may provide useful outcomes for defining measurable biomarkers underlying severe mental illness. Funding:
|
|
Publication: Conf Proc IEEE Eng Med Biol Soc. 2015;2015:7043-6. PMID: 26737914 Authors: Duque SI, Ochoa JF, Botero AF, Ramirez M. Institution: Bioinstrumentation and Clinical Research Group, Bioengineering Program, Universidad de Antioquia UdeA, Medellin, Colombia. Abstract: Neurosurgical procedures require high precision and an accurate localization of the structures. For that reason and due to the advances in 3D visualization, the software for planning and training neurosurgeries has become an important tool for neurosurgeons and students, but the manipulation of the 3D structures is not always easy for the staff that usually works with 2D images. This paper describes a system developed in open source software that allows performing a virtual craniotomy (a common procedure in neurosurgery that enables the access to intracranial lesions) in 3D Slicer; the system includes a peripheral input in order to permit the manipulation of the 3D structures according to camera movements and to guide the movement of the craniotomy tool. |
Go to 2020 :: 2019 :: 2018 :: 2017 :: 2016 :: 2015 :: 2014-2011:: 2010-2005