Difference between revisions of "Documentation/4.4/Modules/T1 Mapping CPP"
Stevedaxiao (talk | contribs) (Created page with '<noinclude>{{documentation/versioncheck}}</noinclude> <!-- ---------------------------- --> {{documentation/{{documentation/version}}/module-header}} <!-- -----------------------…') |
Stevedaxiao (talk | contribs) |
||
| Line 11: | Line 11: | ||
{| | {| | ||
| | | | ||
| − | [[Image:T1 Mapping Logo Resized.png ]] | + | [[Image:T1 Mapping Logo Resized CPP.png ]] |
| | | | ||
Extension: [[Documentation/{{documentation/version}}/Extensions/T1_Mapping_CPP|T1_Mapping_CPP]]<br> | Extension: [[Documentation/{{documentation/version}}/Extensions/T1_Mapping_CPP|T1_Mapping_CPP]]<br> | ||
Latest revision as of 04:18, 2 September 2015
Home < Documentation < 4.4 < Modules < T1 Mapping CPP
|
For the latest Slicer documentation, visit the read-the-docs. |
Introduction and Acknowledgements
| |||||||
|
Module Description
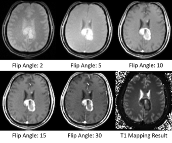
T1 mapping estimates effective tissue parameter maps (T1) from multi-spectral FLASH MRI scans with different flip angles. T1 mapping can be used to optimize parameters for a sequence, monitor diseased tissue, measure Ktrans in DCE-MRI and etc.
The method and equations for Variable Flip Angle T1 Mapping are available here: http://www.ncbi.nlm.nih.gov/pmc/articles/PMC3620726/pdf/nihms-423474.pdf
Use Cases
- Take multi-spectral FLASH images with an arbitrary number of flip angles as input, and estimate the T1 values of the data for each voxel.
- Read repetition time(TR), echo time(TE) and flip angles from the Dicom header directly.
- Prostate, brain, head & neck, cervix, breast and etc.
Tutorials
Panels and their use
|
Similar Modules
References
Information for Developers
| Section under construction. |
Source code: https://github.com/stevedaxiao/T1_Mapping_CPP
