Difference between revisions of "EMSegmenter-Tasks:MRI-Human-Brain-Hemisphere"
Belhachemi (talk | contribs) (→Atlas) |
Belhachemi (talk | contribs) (→Result) |
||
| Line 48: | Line 48: | ||
=Result= | =Result= | ||
<gallery perrow=1: widths=630px : heights=210px> | <gallery perrow=1: widths=630px : heights=210px> | ||
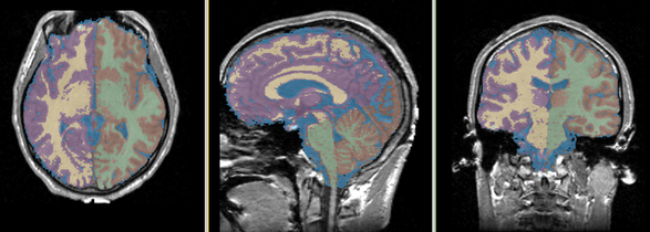
| − | Image: | + | Image:EMS_Hemisphere_orig.png |
| − | Image: | + | Image:EMS_Hemisphere_labelmap50.png |
| + | Image:EMS_Hemisphere_labelmap.png | ||
</gallery> | </gallery> | ||
Revision as of 19:36, 3 May 2011
Home < EMSegmenter-Tasks:MRI-Human-Brain-HemisphereReturn to EMSegmenter Task Overview Page
Description
Single channel automatic segmentation of t1w-MRI brain scans into the major tissue classes (gray matter, white matter, csf). The task can only be applied to t1w brain scan showing parts of the skull and neck. The pipeline consist of the following steps:
- Step 1: Perform image inhomogeneity correction of the MRI scan via N4ITKBiasFieldCorrection (Tustison et al 2010)
- Step 2: Register the atlas to the MRI scan via BRAINSFit (Johnson et al 2007)
- Step 3: Compute the intensity distributions for each structure
Compute intensity distribution (mean and variance) for each label by automatically sampling from the MR scan. The sampling for a specific label is constrained to the region that consists of voxels with high probability (top 95%) of being assigned to the label according to the aligned atlas.
- Step 4: Automatically segment the MRI scan into the structures of interest using EM Algorithm (Pohl et al 2007)
Anatomical Tree
- root
- background (BG)
- air (AIR)
- skull (skull)
- intracranial cavity (ICC)
- white matter (WM)
- grey matter (GM)
- cerebrospinal fluid (CSF)
- background (BG)
Atlas
Atlas was generated based on 82 scans and corresponding segmentations provided by Psychiatry Neuroimaging Laboratory, BWH. We registered the scans to a preselected template via Warfield et al. 2001.
Image Dimension = 256 x 256 x 124
Image Spacing = 0.9375 x 0.9375 x 1.5
| Template (T1) | CSF | GM | WM |
This task is using two parcellation maps: atlas_whitematter_hem and atlas_greymatter_hem to divide the segmentation into left and right regions.
Result
Acknowledgment
The construction of the pipeline was supported by funding from NIH NCRR 2P41RR013218 Supplement.
Citations
- Tustison NJ, Avants BB, Cook PA, Zheng Y, Egan A, Yushkevich PA, Gee JC N4ITK: Improved N3 Bias Correction, IEEE Trans Med Imag, 2010
- Pohl K, Bouix S, Nakamura M, Rohlfing T, McCarley R, Kikinis R, Grimson W, Shenton M, Wells W. A Hierarchical Algorithm for MR Brain Image Parcellation. IEEE Transactions on Medical Imaging. 2007 Sept;26(9):1201-1212.
- S. Warfield, J. Rexilius, P. Huppi, T. Inder, E. Miller, W. Wells, G. Zientara, F. Jolesz, and R. Kikinis, “A binary entropy measure to assess nonrigid registration algorithms,” in MICCAI, LNCS, pp. 266–274, Springer, October 2001.
- Johnson H.J., Harris G., Williams K. BRAINSFit: Mutual Information Registrations of Whole-Brain 3D Images, Using the Insight Toolkit, The Insight Journal, July 2007