Slicer3:Module:Bubble Maker-Documentation
Return to Slicer Documentation
Module Name
Bubble Maker
General Information
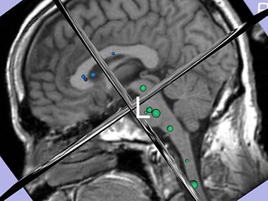
This module builds a label image made of bubbles from a set of fiducials and a vector of radii. It is intended for use in combination with the interactive level-set evolution module, providing initialization for the evolution.
Module Type & Category
Type: CLI Category: Level-Set Segmentation
Authors, Collaborators & Contact
- Author: Carlos S. Mendoza, Universidad de Sevilla
- Contact: carlos.sanchez.mendoza@gmail.com
Module Description
This module takes as input a set of fiducials, a vector of floats for the radii of the bubbles in physical units, a reference image on which the bubbles will take place, a label for the resulting label map. It provides a label image with spheres centered on the fiducials with radius corresponding to the radii vector position corresponding to the number of the concerned fiducial in the fiducial set.
Examples, Use Cases & Tutorials
Quick Tour of Features and Use
There is only one panel available in this module:
|
|
When placing the bubbles for a level-set segmentation, great care has to be taken in order to produce the optimal seeding. We want to create bubbles that are entirely inside the structure of interest. A clever way to proceed is placing the bubbles as far away as possible from suspected leaking points in the feature image (Target Preprocessing should run before this module). |
Known bugs
Follow this link to the Slicer3 bug tracker.
Usability issues
Follow this link to the Slicer3 bug tracker. Please select the usability issue category when browsing or contributing.
Source code & documentation
Customize following links for your module.
Links to documentation generated by doxygen.
Acknowledgment
This work was developed on financial support from the University of Sevilla, Spain. Most of the development took place in the Surgical Planning Laboratory, Harvard Medical School and Brigham and Women's Hospital, under the supervision of Mr. Steve Pieper Ph.D.

