Documentation:Nightly:Registration:RegistrationLibrary:RegLib C42

From Slicer Wiki
Jump to: navigation, search
Home < Documentation:Nightly:Registration:RegistrationLibrary:RegLib C42

Back to Registration Library

Slicer Registration Library Case #42:
Intra-subject Brain MRI: serial assessment of brain development in autism

Input

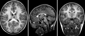
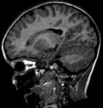
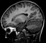
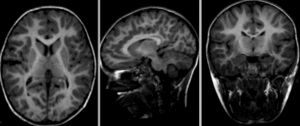
this is the fixed reference image. All images are aligned into this space lleft this is the moving image. The transform is calculated by matching this to the reference image
fixed image/target moving image

Modules used

Download (from NAMIC MIDAS)

Why 2 sets of files? The "input data" mrb includes only the unregistered data to try the method yourself from start to finish. The full dataset includes intermediate files and results (transforms, resampled images etc.). If you use the full dataset we recommend to choose different names for the images/results you create yourself to distinguish the old data from the new one you generated yourself.

Description

This is a typical case of change assessment.

Keywords

MRI, brain, head, intra-subject, T1, autism, change assessment, pediatric MRI

Procedure

  1. Affine Registration: open the General Registration (BRAINS) module.
    1. Fixed Image Volume: "Autism_T1_4yrs"
    2. Moving Volume: "Autism_T1_2yrs"
    3. Registration phases: check boxes for Rigid" ,"Scale", "Affine"
    4. Slicer Linear Transform: select "create new transform", rename to "Xf1_Affine" or similar
    5. leave rest at defaults. Click Apply
    6. registration should take ~ 10 secs.
    7. use fade slider to verify alignment; compare with result snapshots shown below. Alignment will not be perfect but should be better than before.
    8. note: you can also change the colormaps for the fixed and moving volumes to better judge the alignment: go to the Volumes module and in the Display tab, select "green" and "magenta" as the respective colormaps for the two volumes (vhf, vhm)
  2. Nonrigid Registration: open the General Registration (BRAINS).
    1. Fixed/Moving Image Volume: as above
    2. Registration phases: uncheck boxes for rigid, scale and affine and check box for BSpline
    3. Output: Slicer Linear transform: set to None
    4. Output: Slicer BSpline transform: create new, rename to "Xf2_BSpline" or similar
    5. Output Image Volume: create new, rename to "Autism_T1_2yrs_Xf2"; Pixel Type: "short"
    6. Registration Parameters: increase Number Of Samples to 300,000; Number of Grid Subdivisions: 5,5,5
    7. Leave all other settings at default
    8. click apply

Registration Results

RegLib C42 unregistered.gif baseline and follow-up before registration (click to enlarge)
RegLib C42 affine.gif after affine alignment. Note the residual shape differences (click to enlarge)
RegLib C42 Xf2 registered.gif after nonrigid BSpline registration (click to enlarge)
RegLib C42 Xf2a DeformOnly.gif| visualization of the nonrigid deformation component only