Documentation:Nightly:Registration:RegistrationLibrary:RegLib C38

From Slicer Wiki
Jump to: navigation, search
Home < Documentation:Nightly:Registration:RegistrationLibrary:RegLib C38

Back to Registration Library

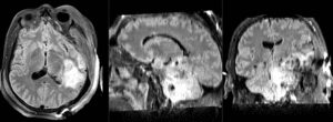
Slicer Registration Library Case 38: TBI

Input

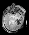
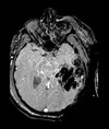
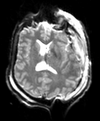
RegLib C38 Thumb1.png lleft RegLib C38 Thumb2.png RegLib C38 Thumb3.png RegLib C38 Thumb4.png RegLib C38 Thumb5.png RegLib C38 Thumb6.png RegLib C38 Thumb7.png RegLib C38 Thumb8.png
T1pre FLAIR T1post coronal T2 SWI EP50 EP75 EP100

Description

This is an example of a multi-contrast dataset acquired for traumatic brain injury (TBI). We have many scans we seek to align to a common reference. Since all scans are acquired in short succession, they have only little initial misalignment, but they may differ significantly in contrast and field of view.
Approach: we register all the scans within each exam to the T1. Because of the strong differences in field of view (FOV), we limit registration degree of freedom to 6 DOF (rigid transformation only).

Modules used

Download (from NAMIC MIDAS)

Video Screencasts

  1. registering all other images to T1, apply transform without resampling and save. (8.5 min, 37MB)

Procedure

  1. Load all datasets via drag&drop or via "AddData / AddVolume" ... do not center the volumes, since they have reasonable alignment at the outset
  2. the registration procedure below is identical for all other scans in the sequence, i.e. just replace the Moving Volume and the Slicer Linear Transform", everything else can stay at default
  3. open the General Registration (BRAINS) module
    1. Fixed Image Volume: T1
    2. Moving Image Volume: T2
    3. Output Settings:
      1. Slicer BSpline Transform": none
      2. Slicer Linear Transform: create new transform, rename to "Xf1_T2"
      3. Output Image Volume: none
    4. Registration Phases: check box for Rigid only
    5. leave all other settings at defaults
    6. click: Apply; runtime < 10 sec (MacPro QuadCore 2.4GHz)
  4. this will generate the alignment transform. The demo screencast above shows how to apply the result transforms without resampling and then saving the images under a new name. It also shows where in the saved image the new orientation is stored. Note that the screencast was done for version 4.2.0. If you're using a more recent version, the BRAINS registration tool may automatically place the moving image into the result transform.
  5. repeat steps above for all the other images: FLAIR, T1post, SWI,EP . The only 2 settings to change are the Moving Image and the Result Transform

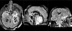
Registration Results

unregistered unregistered
registered registered