Documentation:Nightly:Registration:RegistrationLibrary:RegLib C10

From Slicer Wiki
Jump to: navigation, search
Home < Documentation:Nightly:Registration:RegistrationLibrary:RegLib C10

Back to Registration Library

Slicer Registration Library Case #10: group atlas to structural MRI

Input

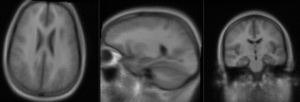
this is the fixed reference image. All images are aligned into this space
RegArrow NonRigid.png
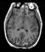
this is the moving target image, to be aligned with the reference image on the left
fixed image/target
T1
moving image
group atlas

Description

This is an example of inter-subject registration; we seek to align a group atlas image with a structural reference T1. Approach: we first compute an affine alignment of the atlas to the T1. We then proceed to nonrigid registrations of higher and higher DOF, stopping at the DOF where deformations become unreasonable. We can constrain the deformation by either explicit limits on the absolute deformation amount or via a mask. Constraints become increasingly critical as DOF increases.

Modules used

Download (from NAMIC MIDAS)

Why 2 sets of files? The "input data" mrb includes only the unregistered data to try the method yourself from start to finish. The full dataset includes intermediate files and results (transforms, resampled images etc.). If you use the full dataset we recommend to choose different names for the images/results you create yourself to distinguish the old data from the new one you generated yourself.

Keywords

MRI, atlas, brain, head, inter-subject

Video Screencasts

  1. Movie/screencast showing rigid + BSpline registration

Procedure

  1. Affine Registration: register atlas to T1
    1. open the General Registration (BRAINS) module
    2. Fixed Image Volume: T1ref
    3. Moving Image Volume: Atlas
    4. Output Settings:
      1. Slicer BSpline Transform": none
      2. Slicer Linear Transform: create & rename new transform: Xf1_Affine.tfm
      3. Output Image Volume: none
    5. Registration Phases: check box for "Rigid"', "Rigid+Scale" and "Affine"
    6. Main Parameters
      1. Number of Samples: 200,000
    7. click: Apply; runtime < 10 sec (MacPro QuadCore 2.4GHz)
  2. Nonrigid BSpline Registration
    1. open the General Registration (BRAINS) module
    2. Fixed Image Volume: T1ref
    3. Moving Image Volume: Atlas
      1. Slicer BSpline Transform": create & rename new transform: Xf2_BSpline.tfm
    4. Slicer Linear Transform: none
      1. Output Image Volume: create & rename new: Atlas_Xf2
    5. Initialization Transform:select "Xf1_Affine" created above
    6. Initialization Transform Mode: off
    7. Registration Phases: uncheck boxe for Rigid and instead check BSpline
    8. Main Parameters: Number of Samples: 300,000
    9. BSpline Grid Size:5,5,3
    10. click: Apply
  3. Increasing DOF
    1. repeat the above with a larger BSpline grid:
      1. Slicer BSpline Transform": create & rename new transform: Xf3_BSpline2.tfm
      2. Output Image Volume: create & rename new: Atlas_Xf3
    2. Initialization Transform:select "Xf1_Affine" created above
    3. Initialization Transform Mode: off
    4. Main Parameters: Number of Samples: 400,000
    5. BSpline Grid Size:7,7,5
    6. click: Apply
  4. further increase DOF: you can continue exploring how far the direct approach (from Affine direct to high DOF BSpline) remains stable, by increasing the BSpline grid size until results become too distorted. Alternatively you can use the lower DOF result (e.g. Atlas_Xf2) as input to the next higher DOF transform. This enables a stable progression to higher DOF, but it also includes multiple resampling and accompanied data loss from interpolation blurring.

Registration Results

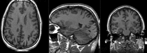
RegLib C10 unregistered.png unregistered (click to enlarge)
RegLib C10 registered1 Affine.png after affine registration (click to enlarge)
RegLib C10 registered2 Affine.gif after affine registration (click to enlarge)
RegLib C10 registered3 BSpline.gif after nonrigid BSpline (5x5x3) registration (click to enlarge)
RegLib C10 registered4 BSpline2.gif after nonrigid BSpline (7x7x5) registration (click to enlarge)

Acknowledgments