Documentation/4.10/Modules/AFTSegmenter

From Slicer Wiki
Jump to: navigation, search
Home < Documentation < 4.10 < Modules < AFTSegmenter


For the latest Slicer documentation, visit the read-the-docs.


Introduction and Acknowledgements

Extension: LesionSpotlight
Webpage: http://dcm.ffclrp.usp.br/csim/
Author: Antonio Carlos da S. Senra Filho, CSIM Laboratory (University of Sao Paulo, Department of Computing and Mathematics)
Contact: Antonio Carlos da S. Senra Filho, <email>acsenrafilho@usp.br</email>

CSIM Laboratory  
University of Sao Paulo  
CAPES Brazil  

Module Description

AFTSegmenter-icon.png

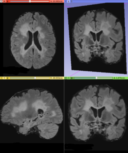
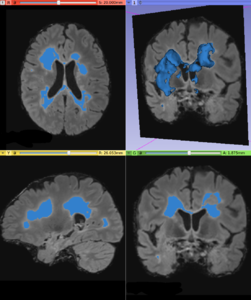
This module offers an implementation of a recent Multiple Sclerosis lesion segmentation approach based on a unsupervised method described by Cabezas et al. [1]. This module is intended to be used with FLAIR and T1 MRI volumes, which the MS lesions can be detected.


Use Cases

  • Use Case 1: Multiple Sclerosis (MS) lesions segmentation
    • Using T1 and FLAIR MRI volumes, it can be possible to detect abnormal voxel signal using a parametric strategy, which delineates white matter signals that does not belongs to the majority neighborhood pattern. More details can be found in the original paper [2]


Panels and their use

User Interface

IO:

  • T1 Volume
    • Input T1 volume
  • T2-FLAIR Volume
    • Input T2-FLAIR volume
  • Lesion Label
    • Output a global lesion mask
  • Is brain extracted?
    • Is the input data (T1 and T2-FLAIR) already brain extracted?

Segmentation Parameters:

  • Absolute Error Threshold
    • Define the absolute error threshold for gray matter statistics. This measure evaluated the similarity between the MNI152 template and the T2-FLAIR gray matter fluctuation estimative. A higher error gives a higher variability in the final lesion segmentation
  • Gamma
    • Define the outlier detection based on units of standard deviation in the T2-FLAIR gray matter voxel intensity distribution
  • White Matter Matching
    • Set the local neighborhood searching for label refinement step. This metric defines the percentage of white matter tissue that surrounds the hyperintense lesions. Large values defines a conservative segmentation, i.e. in order to define a true MS lesion, it must be close to certain percentage of white matter area.
  • Minimum Lesion Size
    • Set the minimum lesion size adopted as a true lesion in the final lesion map. Units are given in number of voxels
  • Gray Matter Mask Value
    • Set the mask value that represents the gray matter. Default is defined based on the (Basic Brain Tissues module) output
  • White Matter Mask Value
    • Set the mask value that represents the white matter. Default is defined based on the (Basic Brain Tissues module) output


Similar Modules

References

  • Cabezas, M., Oliver, A., Roura, E., Freixenet, J., Vilanova, J. C., Ramió-Torrentà, L., Rovira, À. and Lladó, X. (2014) ‘Automatic multiple sclerosis lesion detection in brain MRI by FLAIR thresholding’, Computer Methods and Programs in Biomedicine. Elsevier Ireland Ltd, 115(3), pp. 147–161. DOI: 10.1016/j.cmpb.2014.04.006.

Information for Developers

  1. Cabezas M. et al.(2014) "Automatic multiple sclerosis lesion detection in brain MRI by FLAIR thresholding", Computer Methods and Programs in Biomedicine, DOI: 10.1016/j.cmpb.2014.04.006
  2. Cabezas M. et al.(2014) "Automatic multiple sclerosis lesion detection in brain MRI by FLAIR thresholding", Computer Methods and Programs in Biomedicine, DOI: 10.1016/j.cmpb.2014.04.006