Documentation/4.1/Modules/SkullStripper

From Slicer Wiki
Jump to: navigation, search
Home < Documentation < 4.1 < Modules < SkullStripper


For the latest Slicer documentation, visit the read-the-docs.



Introduction and Acknowledgements

Extension: SkullStripper
Acknowledgments: This work is part of the National Alliance for Medical Image Computing (NAMIC), funded by the National Institutes of Health through the NIH Roadmap for Medical Research, Grant U54 EB005149.
Implementation of the Fuzzy Classification was contributed by Dr. Ming-Ching Chang from GE Research.
OASIS datasets were used to generate images on this page.
Author: Xiaodong Tao (GE)
Contributor1: Jean-Christophe Fillion-Robin (Kitware)
Contact: Xiaodong Tao, <email>taox@research.ge.com</email>

GE Global Research  
Kitware, Inc.  
National Alliance for Medical Image Computing (NA-MIC)  

Module Description

Use Cases

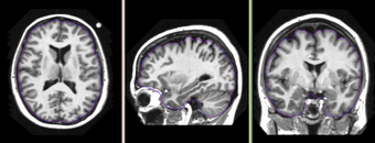
Input T1 Image
Brain mask as contour
Brain surface

Tutorials

Panels and their use

Module UI

Similar Modules

References

  • Xiaodong Tao, Ming-ching Chang, “A Skull Stripping Method Using Deformable Surface and Tissue Classification”, SPIE Medical Imaging, San Diego, CA, 2010.
  • Ming-ching Chang, Xiaodong Tao “Subvoxel Segmentation and Representation of Brain Cortex Using Fuzzy Clustering and Gradient Vector Diffusion”, SPIE Medical Imaging, San Diego, CA, 2010.


Information for Developers