Difference between revisions of "Documentation:Nightly:Registration:RegistrationLibrary:RegLib C42"

From Slicer Wiki
Jump to: navigation, search
(Created page with '= Slicer Registration Library Case #42: <br>Intra-subject Brain MRI: serial assessment of brain development in autism = == Input == {| style="color:#bbbbbb; " cellpadding="10" c…')
 
Line 1: Line 1:
 +
[[Documentation/Nightly/Registration/RegistrationLibrary|Back to Registration Library]]
 
= Slicer Registration Library Case #42: <br>Intra-subject Brain MRI:  serial assessment of brain development in autism =
 
= Slicer Registration Library Case #42: <br>Intra-subject Brain MRI:  serial assessment of brain development in autism =
 
== Input ==
 
== Input ==
Line 13: Line 14:
 
== Modules Used ==
 
== Modules Used ==
  
===Description ===
+
== Description ==
 
This is a typical case of change assessment.  
 
This is a typical case of change assessment.  
 +
 +
*[http://slicer.kitware.com/midas3/download/?items=119557 '''RegLib_C42.mrb'''] <br><small>(input data only, Slicer mrb file. 12 MB) </small><br>
 +
*[http://slicer.kitware.com/midas3/download/?items=119556 '''RegLib_C42_full.mrb''']<br><small>(input data + results, Slicer mrb file. 36 MB). </small>
  
 
=== Keywords ===
 
=== Keywords ===

Revision as of 18:51, 1 October 2013

Home < Documentation:Nightly:Registration:RegistrationLibrary:RegLib C42

Back to Registration Library

Slicer Registration Library Case #42:
Intra-subject Brain MRI: serial assessment of brain development in autism

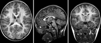
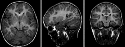
Input

this is the fixed reference image. All images are aligned into this space lleft this is the moving image. The transform is calculated by matching this to the reference image
fixed image/target moving image

Modules Used

Description

This is a typical case of change assessment.

*RegLib_C42.mrb 
(input data only, Slicer mrb file. 12 MB)

Keywords

MRI, brain, head, intra-subject, T1, autism, change assessment, pediatric MRI


Procedures

  • Phase I: Register Rigid/Affine
  1. open Registration : BrainsFit module (presets: BRAINSfit_Xf1 or _Xf2
    1. Input Parameters:
      1. Fixed: "Autism_T1_2yrs"
      2. Moving: "Autism_T1_4yrs"
    2. Registration Phases:
      1. select/check Include Rigid registration phase , Include Scale Versor 3D , Include Affine, Include BSpline
    3. Output Settings
      1. select a new "Slicer BSpline Transform", rename to "Xf3_Affine+BSpline" or similar "
      2. select a new volume "Output Image Volume, rename to "Autism_T1_4yrs_Xf3", indicating that this is the result volume after being resampled with the Xf3 transform.
      3. Output Image Pixel Type: check "ushort". As a general rule, match the datatype of the input image, unless specific reason demands otherwise (e.g. you wish to avoid rounding of interpolation effects). The "float" datatype is 4-bytes per pixel and can produce unnecessary large files.
    4. Registration Parameters:
      1. increase Number Of Samples to 300,000
    5. Registration Parameters: set Number Of Grid Subdivisions to 5,5,5
    6. Leave all other settings at default
    7. click Apply

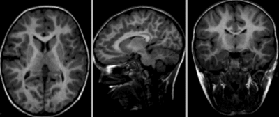
Registration Results

unregistered
original unregistered
rigid
affine
affine registered nonrigid registered (5,5,5 BSpline unmasked)
BSpline (7x7x7) unmasked
visualization of the nonrigid deformation component only