Documentation:Nightly:Registration:RegistrationLibrary:RegLib C20

From Slicer Wiki
Revision as of 16:56, 28 August 2013 by Meier (talk | contribs) (→‎Procedure)
Jump to: navigation, search
Home < Documentation:Nightly:Registration:RegistrationLibrary:RegLib C20

Back to Registration Library

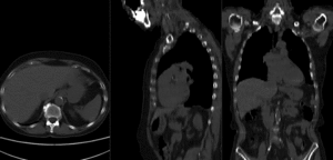
Slicer Registration Library Case #20: Align PET/CT pair follow-up to baseline

Input

this is the baseline PET/CT exam
RegArrow NonRigid.png
this is the follow-up exam, i.e. the moving image, to be aligned with the baseline
fixed image/target
baseline PET/CT
moving image
follow-up PET/CT

Modules used

Download (from NAMIC MIDAS)

Keywords

PET/CT, full-body, intra-subject, nonrigid

Procedure

It is possible to perform both steps of affine and BSpline registration in a single pass within the General Registration (BRAINS) module, but to better show/judge progress we perform each separately and feed the results of one the the next step. Hence we first run an affine registration, then use that as starting point for a BSpline registration.

  1. Load & Center Volumes:
  2. the original unregistered PET/CT pair have very different image origins. When loaded into Slicer there is very little overlap between the two sets. We first re-center all the volumes to correct for this. Alternatively you can select the "Center Volume" option in the File dialog when loading the images.
    1. open to the Volumes module
      1. Active Volume: CT_1
      2. scroll down and click on the Center Volume button.
      3. repeat for "CT_2", "PET_1" and "PET_2" volumes
  3. Set the display properties:
    1. the CT and PET have very distinct colormaps. Slicer provides presets for both types
    2. open to the Volumes module
      1. Active Volume: CT_1
      2. Window/Level editor presets: click on the "CT-abdomen" button (3rd from the right).
      3. repeat for volume "CT_2"
      4. for "PET_1" and "PET_2" select the "PET" preset (3rd from the left)
      5. since zero in the PET colormap is red, we set a threshold to suppress this: from Threshold menu, select "Manual" and set the left/lower threshold to ~ 600. You can also drag the pop-up slider until most of the red background turns to black.
  4. Compute Affine Registration: open to the General Registration (BRAINS) module
    1. Input Images: Fixed Image Volume: CT_1
    2. Input Images: Moving Image Volume: CT_2
    3. Output Settings:
      1. Slicer Linear Transform: (create new transform, rename to: "Xf1_Affine")
      2. Output Image Volume: none (we need no resampled volume at this stage, only the transform)
    4. Initialization: none
    5. Initialize Transform Mode: switch to Off (there is sufficient overlap)
    6. Registration Phases: 'check Rigid, Rigid+Scale and Affine only
    7. Main Parameters:
      1. increase Number Of Samples to at least 200,000
    8. Leave all other settings at default
    9. click: Apply; runtime < 2 min.
    10. check the result
      1. Place "CT_1" in the background and "CT_2" in the foreground
      2. switch to the Data module, verify that the "CT_2" node is inside the newly created "Xf1_Affine" node. The registration module should do that automatically for you. You may see a small "+" next to the "Xf1_Affine" node, click on it to reveal the contents.
      3. fade between background and foreground to judge the alignment.
  5. Compute BSpline Registration: return to the General Registration (BRAINS) module
    1. Input Images: Fixed Image Volume: CT_1
    2. Input Images: Moving Image Volume: CT_2
    3. Output Settings:
      1. Slicer BSpline Transform: Create and rename new. Rename to "Xf2_BSpline"
      2. Slicer Linear Transform: set to none
      3. Output Image Volume: Create and rename new. Rename to "CT_2_Xf2" (we need a resampled volume to visualize the result. Nonrigid transforms cannot be visualized on the fly)
    4. Initialization: for the Initialization transform select the "Xf1_Affine" transform created above.
    5. Initialize Transform Mode: switch to Off
    6. Registration Phases: uncheck Rigid+Scale and Affine and select BSpline only
    7. Main Parameters:
      1. increase Number Of Samples to 300,000
      2. set B-Spline Grid Size to 11,11,7
    8. Leave all other settings at default
    9. click: Apply; runtime for this will be more than 1 minute, depending on CPU.
    10. check the result
      1. Place "CT_1" in the background and "CT_2_Xf2" in the foreground
      2. fade between background and foreground to judge the alignment.
  6. Apply transform to PET

Registration Results

RegLib C20 unregistered.gif |before registration (click to enlarge)
RegLib C20 registered.gif |after affine registration (click to enlarge)
RegLib C20 registered2.gif |BSpline deformation grid (click to enlarge)


Acknowledgments