Documentation/Nightly/Extensions/LesionSimulator
|
For the latest Slicer documentation, visit the read-the-docs. |
Introduction and Acknowledgements
|
This work was partially funded by CAPES and CNPq, a Brazillian Agencies. Information on CAPES can be obtained on the CAPES website and CNPq website. | |||||||||
|
Extension Description
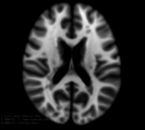
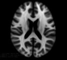
This extension offer a set of tools for brain lesion simulation, based on MRI images. At moment, the module MS Lesion Simulator is available, where it can simulates both baseline scan lesion volumes (given a lesion load) and longitudinal image simulations. The general procedure describe in the MS Lesion Simulator is described in the original paper.
Modules
Use Cases
Most frequently used for these scenarios:
- Use Case 1: Simulate different anatomical/clinical MS lesions patterns on healthy individuals MRI images
- In the baseline scan approach, it is offered a simulation procedure where a determined lesion load is reconstructed using a subject specific anatomical features, resulting in a realistic MS lesion load simulation.
- Use Case 2: Simulate longitudinal MS lesion progression on clinical healthy individuals MRI images
Similar Extensions
N/A
References
- paper
Information for Developers
| Section under construction. |
Repositories:
- Source code: GitHub repository
- Issue tracker: open issues and enhancement requests
