Difference between revisions of "Documentation/4.3/Modules/Growing"

From Slicer Wiki
Jump to: navigation, search
Line 28: Line 28:
 
Author: Vinicius Boen
 
Author: Vinicius Boen
  
Contributors:
+
Contributors: Francois Budin (NIRAL, University of North Carolina), Martin Styner (NIRAL, University Of North Carolina), Beatriz Paniagua (NIRAL, University Of North Carolina), Lucia Cevidanes (University of Michigan - School of Dentistry)
  
 
Contact: vboen@umich.edu
 
Contact: vboen@umich.edu

Revision as of 14:07, 18 September 2013

Home < Documentation < 4.3 < Modules < Growing


For the latest Slicer documentation, visit the read-the-docs.



Growing

Growing

User Interface
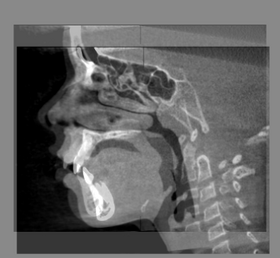
Baseline CBCT Scan - Input Scan
Follow up CBCT Scan - Input Scan
Baseline Segmentation Mask - Input Seg
Followup Segmentation Mask - Input Seg
Baseline and Followup CBCT Scans - Baseline Input Scan + Followup Input Scan
Baseline and Followup CBCT Scans Registered - Baseline Input Scan + Output Scan

General Information

Module Type & Category

Type: CLI

Category: CBCT Scan Registration


Authors, Collaborators & Contact

Author: Vinicius Boen

Contributors: Francois Budin (NIRAL, University of North Carolina), Martin Styner (NIRAL, University Of North Carolina), Beatriz Paniagua (NIRAL, University Of North Carolina), Lucia Cevidanes (University of Michigan - School of Dentistry)

Contact: vboen@umich.edu

Module Description

Program title Growing
Program description
Program documentation-url http://www.nitrc.org/forum/?group_id=527