Difference between revisions of "Modules:SkullStripperModule"

From Slicer Wiki
Jump to: navigation, search
Line 9: Line 9:
 
| style="text-align: center;" |
 
| style="text-align: center;" |
 
{| border="0"  
 
{| border="0"  
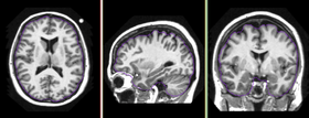
|[[Image:SkullStripperInput-3-6.png|thumb|280px|Input Image with Mask]]
+
|[[Image:SkullStripperInput-3-6.png|thumb|280px|Input T1 Image]]
 
|-
 
|-
|[[Image:SkullStripperOutput-3-6.png|thumb|280px|Segmentation Results]]
+
|[[Image:SkullStripperOutput-3-6.png|thumb|280px|Brain mask as contour]]
|-
 
|[[Image:SkullStripperSurface-3-6.png|thumb|280px|Segmentation Results]]
 
 
|}
 
|}
 +
|[[Image:SkullStripperSurface-3-6.png|thumb|280px|Brain surface]]
 
|}
 
|}
  

Revision as of 15:00, 25 May 2010

Home < Modules:SkullStripperModule

Return to Slicer 3.6 Documentation


Module Name

Skull Stripper

Module UI
Input T1 Image
Brain mask as contour
Brain surface

General Information

Module Type & Category

Type: CLI

Category: Segmentation

Authors, Collaborators & Contact

  • Author: Xiaodong Tao
  • Contact: taox at research.ge.com

Module Description

Usage

Examples, Use Cases & Tutorials

Quick Tour of Features and Use

Development

Dependencies

No other modules are required for this module.

Known bugs

None.

Usability issues

Developed and tested on T1 weighted images from OASIS database. In some cases, when partial volume artifact is severe, the algorithm does not find the accurate brain boundary.

Source code & documentation

Source Code:

XML Description:

Usage:

More Information

Acknowledgment

This work is part of the National Alliance for Medical Image Computing (NAMIC), funded by the National Institutes of Health through the NIH Roadmap for Medical Research, Grant U54 EB005149. Implementation of the Fuzzy Classification was contributed by Dr. Ming-Ching Chang from GE Research.

OASIS datasets were used to generate images on this page.

References

  • Xiaodong Tao, Ming-ching Chang, “A Skull Stripping Method Using Deformable Surface and Tissue Classification”, SPIE Medical Imaging, San Diego, CA, 2010.
  • Ming-ching Chang, Xiaodong Tao “Subvoxel Segmentation and Representation of Brain Cortex Using Fuzzy Clustering and Gradient Vector Diffusion”, SPIE Medical Imaging, San Diego, CA, 2010.