Difference between revisions of "Documentation/4.0/Modules/GradientAnisotropicDiffusion"

From Slicer Wiki
Jump to: navigation, search
Line 1: Line 1:
 
=Rons experiment=
 
=Rons experiment=
{| class="wikitable"
+
{| class="wikitable" align="center" style="text-align:center;" border="1"
 
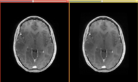
| colspan="3"|[[image:GradientAnisotropicDiffusion-Before-After-2011-08-11.png|200px]]<br>This work is part of the National Alliance for Medical Image Computing (NA-MIC), funded by the National Institutes of Health through the NIH Roadmap for Medical Research, Grant U54 EB005149. Information on NA-MIC can be obtained from the [http://www.na-mic.org/ NA-MIC website].<br>Contact: Jim Miller, <email>miller@ge.com</email>
 
| colspan="3"|[[image:GradientAnisotropicDiffusion-Before-After-2011-08-11.png|200px]]<br>This work is part of the National Alliance for Medical Image Computing (NA-MIC), funded by the National Institutes of Health through the NIH Roadmap for Medical Research, Grant U54 EB005149. Information on NA-MIC can be obtained from the [http://www.na-mic.org/ NA-MIC website].<br>Contact: Jim Miller, <email>miller@ge.com</email>
 
|-
 
|-
Line 6: Line 6:
 
| style="width:33%" |[[Image:GE-logo.png|100px|caption=GE]]
 
| style="width:33%" |[[Image:GE-logo.png|100px|caption=GE]]
 
|style="width:33%" |[[Image:ITK logo.png|100px|caption=ITK]]
 
|style="width:33%" |[[Image:ITK logo.png|100px|caption=ITK]]
 
 
|}
 
|}
  

Revision as of 11:26, 20 October 2011

Home < Documentation < 4.0 < Modules < GradientAnisotropicDiffusion

Rons experiment

GradientAnisotropicDiffusion-Before-After-2011-08-11.png
This work is part of the National Alliance for Medical Image Computing (NA-MIC), funded by the National Institutes of Health through the NIH Roadmap for Medical Research, Grant U54 EB005149. Information on NA-MIC can be obtained from the NA-MIC website.
Contact: Jim Miller, <email>miller@ge.com</email>
caption=NA-MIC‎ caption=GE caption=ITK

Begin template

Introduction and Acknowledgements

  • This work is part of the National Alliance for Medical Image Computing (NA-MIC), funded by the National Institutes of Health through the NIH Roadmap for Medical Research, Grant U54 EB005149. Information on NA-MIC can be obtained from the NA-MIC website.
  • Contact: Jim Miller, <email>miller@ge.com</email>
Template:Documentation/4.0/module-introduction-logoTemplate:Documentation/4.0/module-introduction-logoTemplate:Documentation/4.0/module-introduction-logo

Module Description

Template:Documentation/4.0/module-cli-description

Use Cases

Most frequently used for these scenarios:

  • Use Case 1: Noise reduction as a preprocessing step for segmentation
    • when dealing with single voxel classification schemes running noise reduction as a preprocessing scheme will reduce the number of single misclassified voxels.
  • Use Case 2: Preprocessing to volume rendering
    • Noise reduction will result in nicer looking volume renderings

Tutorials

Links to tutorials that use this module

Panels

Template:Documentation/4.0/module-cli-parametersdescription

Panels

  • Point to other modules that have similar functionality

References

Publications related to this module go here. Links to pdfs would be useful. For extensions: link to the source code repository and additional documentation

Information for Developers