Difference between revisions of "Modules:N4ITKBiasFieldCorrection-Documentation-3.6"
| Line 43: | Line 43: | ||
* Correction of the bias in vervet MRI. Acquisition parameters: 3T GE scanner, single-channel dedicated RF coil (Litzcage, Doty Scientific, Columbia, SC); 3D SPGR sequence (TI 600ms, TE 3.276ms, TR 15.28ms; flip angle 15 deg; matrix 256x256; FOV 12cm; in-plane resolution 0.47 mm; slice thickness 0.5 mm). | * Correction of the bias in vervet MRI. Acquisition parameters: 3T GE scanner, single-channel dedicated RF coil (Litzcage, Doty Scientific, Columbia, SC); 3D SPGR sequence (TI 600ms, TE 3.276ms, TR 15.28ms; flip angle 15 deg; matrix 256x256; FOV 12cm; in-plane resolution 0.47 mm; slice thickness 0.5 mm). | ||
| − | + | {| | |
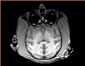
| + | |[[Image:n4_mark1_input.png|thumb|280px|Slice of the input test volume with apparent bias field and label outlines]] | ||
| + | |[[Image:n4_mark1_output.png|thumb|280px|Output image visually contains less inhomogeneity]] | ||
| + | |[[Image:n4_mark1_bias.png|thumb|280px|Recovered bias field]] | ||
| + | |} | ||
* Example 2 | * Example 2 | ||
Revision as of 19:40, 28 April 2010
Home < Modules:N4ITKBiasFieldCorrection-Documentation-3.6Return to Slicer 3.6 Documentation
N4ITK Bias field correction
General Information
Module Type & Category
Type: CLI
Category: Experimental
Authors, Collaborators & Contact
- Author: Nick Tustison, UPenn (algorithm and ITK implementation)
- Author: Andriy Fedorov, BWH (Slicer integration)
- Contact: Andriy Fedorov, fedorov at bwh dot harvard dot edu
Module Description
This module is a CLI wrapper around the N4 bias field correction algorithm, which was presented by Nick Tustison in this Insight Journal publication. This module can be used to remove field inhomogeneity artifact from the image.
Usage
With the basic usage scenario, you only need to specify the input and output images. You can improve the performance of this module by specifying the binary mask for the region of interest in your input image. If this mask is not specified, the module will use Otsu thresholding algorithm to estimate the mask automatically.
In case you are not happy with the result of processing, you may need to experiment with the parameters described below. If you are still not satisfied with the result, you will need to study the relevant papers (see References section at the bottom of this page) and/or contact the Slicer and ITK user lists.
Use Cases, Examples
This module is especially appropriate for these use cases:
- You observe smooth variation of the intensity over the tissue that should have intensity close to uniform
- Your attempts to segment or register your data are not successful, and you are not sure what to do next
Examples of the module in use:
- Correction of the bias in vervet MRI. Acquisition parameters: 3T GE scanner, single-channel dedicated RF coil (Litzcage, Doty Scientific, Columbia, SC); 3D SPGR sequence (TI 600ms, TE 3.276ms, TR 15.28ms; flip angle 15 deg; matrix 256x256; FOV 12cm; in-plane resolution 0.47 mm; slice thickness 0.5 mm).
- Example 2
Tutorials
There are no tutorials available at this time.
However, you can use the images that we use to test the functionality of this module, and the output it generates with the default values of the parameters to experiment with the parameters:
Quick Tour of Features and Use
A list panels in the interface, their features, what they mean, and how to use them. For instance:
|
Development
Notes from the Developer(s)
If you use this module in a Slicer installation compiled from source, it is very important that you compile in Release mode. The difference in performance can be as much as 10x between the Release mode and Debug mode (default mode used by Slicer build scripts). To ensure your installation uses Release mode, run the build script as follows:
Slicer3/Scripts/getbuildtest.tcl --release --clean
Algorithms used, library classes depended upon, use cases, etc.
Dependencies
Other modules or packages that are required for this module's use.
Tests
On the Dashboard, these tests verify that the module is working on various platforms:
- MyModuleTest1 MyModuleTest1.cxx
- MyModuleTest2 MyModuleTest2.cxx
Known bugs
Links to known bugs in the Slicer3 bug tracker
Usability issues
Follow this link to the Slicer3 bug tracker. Please select the usability issue category when browsing or contributing.
Source code & documentation
Links to the module's source code:
Source code:
Doxygen documentation:
More Information
Acknowledgment
Include funding and other support here.
References
Publications related to this module go here. Links to pdfs would be useful.

