Difference between revisions of "Modules:AddImages-Documentation-3.6"

From Slicer Wiki
Jump to: navigation, search
Line 40: Line 40:
 
===Dependencies===
 
===Dependencies===
  
Other modules or packages that are required for this module's use.
+
This module uses the ITK libraries.
  
 
===Known bugs===
 
===Known bugs===

Revision as of 13:27, 15 April 2010

Home < Modules:AddImages-Documentation-3.6

Return to Slicer 3.6 Documentation

Gallery of New Features

Module Name

Filtering:AddImage

Module with parameter settings
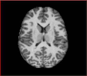
Image 1
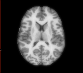
Image 2
Result of adding the images Image 1 and Image 2.

General Information

Module Type & Category

Type: CLI

Category: Base or (Filtering, Registration, etc.)

Authors, Collaborators & Contact

  • Author: Bill Lorensen
  • Contact: bill.lorensen at gmail.com

Module Description

Module performs pixel-wise addition of two images. The module makes use of ITK filters for adding the two images. The module provides support for rescaling the input images to perform addition when the size of the inputs differ. However, it does not register the input images with respect to each other. It is therefore the user's responsibility to make sure that the input images are of the same size to obtain meaningful results.

Usage

Examples, Use Cases & Tutorials

This module can be used for producing intermediate results that can then be plugged as inputs to other filters and modules.

Quick Tour of Features and Use

  • "Inputs/Outputs:" This module requires two input volumes, and the specification of an output volume. The module produces the output volume of the same size as the first input volume.
  • "Parameters:" The module uses one parameter Interpolation Order. The interpolation order sets the degree of B-spline interpolation to be performed on the second input image for resampling it to the same size as the first input image. The default setting is 1. In general, if the input and output images are of the same size, this parameter can be left at the default setting.

Development

Dependencies

This module uses the ITK libraries.

Known bugs

Follow this link to the Slicer3 bug tracker.


Usability issues

Follow this link to the Slicer3 bug tracker. Please select the usability issue category when browsing or contributing.

Source code & documentation

Source Code: [1]

Documentation:

More Information

Acknowledgment

This work is part of the National Alliance for Medical Image Computing (NAMIC), funded by the National Institutes of Health through the NIH Roadmap for Medical Research, Grant U54 EB005149. Information on the National Centers for Biomedical Computing can be obtained from National Centers for Biomedical Computing.

References