Difference between revisions of "Modules:LabelStatistics-Documentation-3.4"

From Slicer Wiki
Jump to: navigation, search
 
Line 61: Line 61:
 
* [http://www.na-mic.org/Slicer/Documentation/Slicer3-doc/html/classvtkLabelStatisticsGUI.html vtkLabelStatisticsGUI]
 
* [http://www.na-mic.org/Slicer/Documentation/Slicer3-doc/html/classvtkLabelStatisticsGUI.html vtkLabelStatisticsGUI]
 
* [http://www.na-mic.org/Slicer/Documentation/Slicer3-doc/html/classvtkLabelStatisticsLogic.html vtkLabelStatisticsLogic]
 
* [http://www.na-mic.org/Slicer/Documentation/Slicer3-doc/html/classvtkLabelStatisticsLogic.html vtkLabelStatisticsLogic]
 +
* [http://www.na-mic.org/Slicer/Documentation/Slicer3-doc/html/classvtkMRMLLabelStatisticsNode.html vtkMRMLLabelStatisticsNode]
  
 
== More Information ==  
 
== More Information ==  

Latest revision as of 22:11, 15 January 2010

Home < Modules:LabelStatistics-Documentation-3.4

Return to Slicer 3.4 Documentation

Gallery of New Features

Module Name

Label Statistics

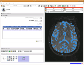
Label Statistics for a binary label map over an MR image. Note the Min and Max values (the label map was created using a thresholding operation)

General Information

Module Type & Category

Type: Base

Category: Statistics

Authors, Collaborators & Contact

  • Author: Katharina Quintus, BWH, Steve Pieper, Isomics
  • Contact: pieper at bwh.harvard.edu

Module Description

Calculate image and volume properties using a label map and a gray scale image.

Usage

Examples, Use Cases & Tutorials

Quick Tour of Features and Use

The module is fairly simple. Just select a background volume and a label volume (for example, as created using the Editor Module) and click Apply.

The volumes of the table show:

  • Label there is one row for each unique value in the label volume
  • Count is the number of pixels in the label volume that have this value
  • Volume is the product of the pixel spacings (volume per pixel) times the Count
  • Min, Max, Mean, StdDev Statistics on the grayscale pixel values at the locations that correspond to the label value.

Development

Dependencies

Other modules or packages that are required for this module's use.

Known bugs

Follow this link to the Slicer3 bug tracker.


Usability issues

Follow this link to the Slicer3 bug tracker. Please select the usability issue category when browsing or contributing.

Source code & documentation

LabelStatistics source files

Doxygen documentation:

More Information

Acknowledgment

This work is part of the National Alliance for Medical Image Computing (NAMIC), funded by the National Institutes of Health through the NIH Roadmap for Medical Research, Grant U54 EB005149. Information on the National Centers for Biomedical Computing can be obtained from National Centers for Biomedical Computing.

References