SampleData

From Slicer Wiki
Jump to: navigation, search
Home < SampleData

This page contains sample data for getting started with 3D Slicer. These files can be downloaded from the File->Download Sample Data menu item.

Warning Warning:

Please don't delete these files from the wiki or add new ones without thinking about it. Data added to this page will be automatically downloadable by all Slicer 4 users.

If you are adding new data, please follow the exact formatting in the table, so that the Download Sample Data module can correctly parse this page.

Description Sample Data Screenshot
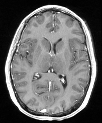
Full head MRI scan MR-head MR-head screenshot.png
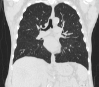
CT scan of chest CT-chest CT-chest screenshot.png
A volume of tensors indicating brain diffusivity. Can be used with tractography. DTI-head DTI-Brain screenshot.png
Registration example part 1: Head MRI of Meningioma at timepoint 1. RegLib_C01_1 RegLib C01 1 screenshot.png
Registration example part 2: Head MRI of Meningioma at timepoint 2. RegLib_C01_2 RegLib C01 2 screenshot.png