Documentation/Nightly/Modules/GrowCutSegmentation

From Slicer Wiki
Jump to: navigation, search
Home < Documentation < Nightly < Modules < GrowCutSegmentation


For the latest Slicer documentation, visit the read-the-docs.


Introduction and Acknowledgements

This work is part of the National Alliance for Medical Image Computing (NAMIC), funded by the National Institutes of Health through the NIH Roadmap for Medical Research, Grant U54 EB005149. Information on the National Centers for Biomedical Computing can be obtained from National Centers for Biomedical Computing.

Authors: Harini Veeraraghavan, Jim Miller

Contact: veerarag@ge.com

Module Description

Grow Cut Segmentation is a competitive region growing algorithm using cellular automata found as an effect in the Editor module. The algorithm works by using a set of user input scribbles for the foreground and background. For N-class segmentation, the algorithm requires a set of scribbles corresponding the N classes and a scribble for a don't care class.

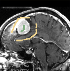
The algorithm executes as follows: Using the "user input scribbles", the algorithm automatically computes a region of interest that encompass the scribbles. It is important that the scribbles do not include a single voxel out of your region of interest as the seeding is sensitive and will not respond well to outliers. Next, the algorithm iteratively tries to label all the pixels in the image using the label of pixels in the user scribbled portions of the image. The algorithm converges when all the pixels in the ROI are labeled, and no pixel can change it's label any more. Individual pixels are labeled by computing a weighted similarity metric of a pixel with all its neighbors, where the weights correspond to the neighboring pixel's strength. The neighbor that results in the largest weight greater than the given pixel's strength, confers its label to the given pixel. After the segmentation, the user can edit the segmentation by providing additional gestures in the image as illustrated in the figure below.

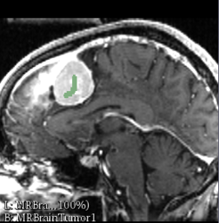
Screen Captures

Click to enlarge photos if necessary


Similar Effects

See also the Fast GrowCut documentation. This is a fast version of the GrowCut algorithm. It is downloadable in the Extension Manager, thus requires memory.

References

  • V. Vezhnevets and V. Konouchine, "GrowCut - Interactive multi-label N-D image segmentation", in Proc. Graphicon, 2005. pp. 150--156.